You have no items in your shopping cart.
You have no items in your shopping cart.

| Catalog Number | orb2589495 |
|---|---|
| Category | Antibodies |
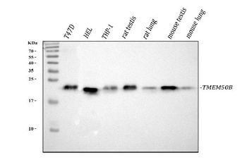
| Description | Anti-TMEM50B Antibody. Tested in Flow Cytometry, IF, ICC, WB applications. This antibody reacts with Human, Mouse, Rat. |
| Clonality | Polyclonal |
| Species/Host | Rabbit |
| Isotype | Rabbit IgG |
| Conjugation | iFluor647 |
| Reactivity | Human, Mouse, Rat |
| Form/Appearance | Lyophilized |
| Concentration | Adding 0.2 ml of distilled water will yield a concentration of 500 μg/ml. |
| Purification | Immunogen affinity purified. |
| Immunogen | A synthetic peptide corresponding to a sequence at the N-terminus of human TMEM50B, identical to the related mouse and rat sequences. |
| UniProt ID | P56557 |
| MW | 23 kDa |
| Tested applications | FC, ICC, IF, WB |
| Application notes | Western blot, 0.1-0.25 μg/ml, Human, Mouse, Rat Immunocytochemistry/Immunofluorescence, 5 μg/ml, Human Flow Cytometry (Fixed), 1-3 μg/1x106 cells, Human. Adding 0.2 ml of distilled water will yield a concentration of 500 μg/ml |
| Cross Reactivity | No cross-reactivity with other proteins |
| Antibody Type | Primary Antibody |
| Storage | At -20°C for one year from date of receipt. After reconstitution, at 4°C for one month. It can also be aliquotted and stored frozen at -20°C for six months. Avoid repeated freezing and thawing. |
| Alternative names | RNA-binding protein 47; RNA-binding motif protein Read more... |
| Note | For research use only |
Participating in our Biorbyt product reviews program enables you to support fellow scientists by sharing your firsthand experience with our products.
Login to Submit a Review