You have no items in your shopping cart.
You have no items in your shopping cart.

| Catalog Number | orb2604062 |
|---|---|
| Category | Antibodies |
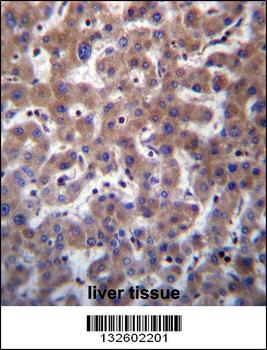
| Description | Anti-TMBIM1 Antibody. Tested in Flow Cytometry, IHC, WB applications. This antibody reacts with Human, Mouse, Rat. |
| Clonality | Polyclonal |
| Species/Host | Rabbit |
| Isotype | Rabbit IgG |
| Conjugation | iFluor647 |
| Reactivity | Human, Mouse, Rat |
| Form/Appearance | Lyophilized |
| Concentration | Adding 0.2 ml of distilled water will yield a concentration of 500 μg/ml. |
| Purification | Immunogen affinity purified. |
| Immunogen | A synthetic peptide corresponding to a sequence at the N-terminus of human TMBIM1, which shares 87.5% and 93.8% amino acid (aa) sequence identity with mouse and rat TMBIM1, respectively. |
| UniProt ID | Q969X1 |
| MW | 35 kDa |
| Tested applications | FC, IHC, WB |
| Application notes | Western blot, 0.1-0.25μg/ml, Human, Mouse, Rat Immunohistochemistry (Paraffin-embedded Section), 2-5μg/ml, Human Flow Cytometry (Fixed), 1-3μg/1x106 cells, Human. Add 0.2ml of distilled water will yield a concentration of 500ug/ml |
| Cross Reactivity | No cross-reactivity with other proteins. |
| Antibody Type | Primary Antibody |
| Storage | Store at -20°C for one year from date of receipt. After reconstitution, at 4°C for one month. It can also be aliquotted and stored frozen at -20°C for six months. Avoid repeated freeze-thaw cycles. |
| Alternative names | E3 ubiquitin-protein ligase RNF169; RING finger pr Read more... |
| Note | For research use only |
ELISA, IHC, WB | |
Human, Mouse, Rat | |
Rabbit | |
Polyclonal | |
Unconjugated |
Participating in our Biorbyt product reviews program enables you to support fellow scientists by sharing your firsthand experience with our products.
Login to Submit a Review