You have no items in your shopping cart.
SLC17A5 Rabbit Polyclonal Antibody
Description
Research Area
Images & Validation
−| Tested Applications | ELISA, IHC, WB |
|---|---|
| Dilution Range | Western blot, 0.25-0.5 μg/ml, Human, Monkey, Mouse, Rat Immunohistochemistry(Paraffin-embedded Section), 2-5 μg/ml, Human ELISA, 0.1-0.5 μg/ml, - |
| Reactivity | Human, Monkey, Mouse, Rat |
Key Properties
−| Antibody Type | Primary Antibody |
|---|---|
| Host | Rabbit |
| Clonality | Polyclonal |
| Isotype | Rabbit IgG |
| Immunogen | E.coli-derived human SLC17A5 recombinant protein (Position: M1-R365). |
| Target | Sialin |
| Molecular Weight | 36 kDa |
| Purification | Immunogen affinity purified. |
| Conjugation | Unconjugated |
Storage & Handling
−| Storage | Maintain refrigerated at 2-8°C for up to 2 weeks. For long term storage store at -20°C in small aliquots to prevent freeze-thaw cycles. |
|---|---|
| Form/Appearance | Lyophilized |
| Buffer/Preservatives | Each vial contains 4 mg Trehalose, 0.9 mg NaCl, 0.2 mg Na2HPO4. |
| Concentration | Adding 0.2 ml of distilled water will yield a concentration of 500 μg/ml. |
| Expiration Date | 12 months from date of receipt. |
| Disclaimer | For research use only |
Alternative Names
−Similar Products
−SLC17A5 Rabbit Polyclonal Antibody [orb578988]
IHC, WB
Bovine, Canine, Equine, Guinea pig, Mouse, Rabbit, Rat, Sheep, Zebrafish
Human
Rabbit
Polyclonal
Unconjugated
100 μlSLC17A5 Rabbit Polyclonal Antibody [orb631228]
ELISA, WB
Human, Mouse, Rat
Rabbit
Polyclonal
Unconjugated
50 μg, 100 μgSLC17A5 Rabbit Polyclonal Antibody [orb668122]
WB
Human, Mouse
Rabbit
Polyclonal
Unconjugated
50 μl, 100 μl, 200 μl, 30 μlSLC17A5 Rabbit Polyclonal Antibody [orb500499]
WB
Bovine, Rabbit, Rat, Sheep
Mouse
Rabbit
Polyclonal
Unconjugated
50 μl, 100 μl, 200 μlSLC17A5 Rabbit Polyclonal Antibody [orb2951863]
ELISA, IHC, WB
Human, Mouse, Rat
Rabbit
Polyclonal
Unconjugated
100 μg, 50 μg

Quality Guarantee
Explore bioreagents carefree to elevate your research. All our products are rigorously tested for performance. If a product does not perform as described on its datasheet, our scientific support team will provide expert troubleshooting, a prompt replacement, or a refund. For full details, please see our Terms & Conditions and Buying Guide. Contact us at [email protected].

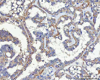
IHC analysis of SLC17A5 using anti-SLC17A5 antibody. SLC17A5 was detected in a paraffin-embedded section of human thyroid cancer tissue. Heat mediated antigen retrieval was performed in EDTA buffer (pH8.0, epitope retrieval solution). The tissue section was blocked with 10% goat serum. The tissue section was then incubated with 2 µg/ml rabbit anti-SLC17A5 Antibody overnight at 4°C. Peroxidase Conjugated Goat Anti-rabbit IgG was used as secondary antibody and incubated for 30 minutes at 37°C. The tissue section was developed using HRP Conjugated Rabbit IgG Super Vision Assay Kit with DAB as the chromogen.

Western blot analysis of SLC17A5 using anti-SLC17A5 antibody. Electrophoresis was performed on a 5-20% SDS-PAGE gel at 70V (Stacking gel) / 90V (Resolving gel) for 2-3 hours. The sample well of each lane was loaded with 30 ug of sample unde r reducing conditions. Lane 1: human Jurkat whole cell lysates, Lane 2: human 293T whole cell lysates, Lane 3: monkey COS-7 whole cell lysates, Lane 4: human THP-1 whole cell lysates, Lane 5: rat NRK whole cell lysates, Lane 6: mouse HBZY-1 whole cell lysates. After electrophoresis, proteins were transferred to a nitrocellulose membrane at 150 mA for 50-90 minutes. Blocked the membrane with 5% non-fat milk/TBS for 1.5 hour at RT. The membrane was incubated with rabbit anti-SLC17A5 antigen affinity purified polyclonal antibody at 0.5 µg/mL overnight at 4°C, then washed with TBS-0.1% Tween 3 times with 5 minutes each and probed with a goat anti-rabbit IgG-HRP secondary antibody at a dilution of 1:5000 for 1.5 hour at RT. The signal is developed using an Enhanced Chemiluminescent detection (ECL) kit with Tanon 5200 system. A specific band was detected for SLC17A5 at approximately 36 kDa. The expected band size for SLC17A5 is at 55 kDa.
Quick Database Links
UniProt Details
−Documents Download
Request a Document
Protocol Information
SLC17A5 Rabbit Polyclonal Antibody (orb1402063)
Participating in our Biorbyt product reviews program enables you to support fellow scientists by sharing your firsthand experience with our products.
Login to Submit a Review







