You have no items in your shopping cart.
You have no items in your shopping cart.

| Catalog Number | orb2603887 |
|---|---|
| Category | Antibodies |
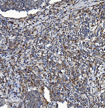
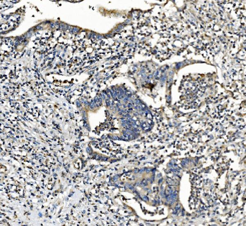
| Description | Anti-NDUFB2 Antibody. Tested in ELISA, Flow Cytometry, IHC, WB applications. This antibody reacts with Human. |
| Clonality | Polyclonal |
| Species/Host | Rabbit |
| Isotype | Rabbit IgG |
| Conjugation | iFluor647 |
| Reactivity | Human |
| Form/Appearance | Lyophilized |
| Concentration | Adding 0.2 ml of distilled water will yield a concentration of 500 μg/ml. |
| Purification | Immunogen affinity purified. |
| Immunogen | E.coli-derived human NDUFB2 recombinant protein (Position: R16-D105). |
| UniProt ID | O95178 |
| MW | 15 kDa |
| Tested applications | ELISA, FC, IHC, WB |
| Application notes | Western blot, 0.25-0.5μg/ml, Human Immunohistochemistry (Paraffin-embedded Section), 2-5μg/ml, Human Flow Cytometry (Fixed), 1-3μg/1x106 cells, Human ELISA, 0.1-0.5μg/ml, -. Add 0.2ml of distilled water will yield a concentration of 500ug/ml |
| Cross Reactivity | No cross-reactivity with other proteins |
| Antibody Type | Primary Antibody |
| Storage | Store at -20°C for one year from date of receipt. After reconstitution, at 4°C for one month. It can also be aliquotted and stored frozen at -20°C for six months. Avoid repeated freeze-thaw cycles. |
| Alternative names | RNA-binding protein 47; RNA-binding motif protein Read more... |
| Note | For research use only |
Participating in our Biorbyt product reviews program enables you to support fellow scientists by sharing your firsthand experience with our products.
Login to Submit a Review