You have no items in your shopping cart.
NAK/TBK1 Antibody
Description
Images & Validation
−| Tested Applications | IHC, WB |
|---|---|
| Reactivity | Human, Mouse, Rat |
| Application Notes |
Key Properties
−| Antibody Type | Primary Antibody |
|---|---|
| Host | Rabbit |
| Clonality | Polyclonal |
| Isotype | Rabbit IgG |
| Immunogen | A synthetic peptide corresponding to a sequence at the C-terminus of human NAK, identical to the related rat and mouse sequences. |
| Molecular Weight | 100 kDa |
| Purification | Immunogen affinity purified. |
| Conjugation | Unconjugated |
Storage & Handling
−| Storage | Maintain refrigerated at 2-8°C for up to 2 weeks. For long term storage store at -20°C in small aliquots to prevent freeze-thaw cycles. |
|---|---|
| Form/Appearance | Lyophilized |
| Concentration | Adding 0.2 ml of distilled water will yield a concentration of 500 μg/ml. |
| Disclaimer | For research use only |
Alternative Names
−Similar Products
−NAK/TBK1 (N-term) Rabbit Monoclonal Antibody [orb547198]
ICC, IF, IHC, WB
Human, Mouse, Rat
Rabbit
Monoclonal
Unconjugated
NAK/TBK1 (N-term) Rabbit mAb Antibody [orb1951891]
ICC, IHC, WB
Human, Mouse, Rat
Rabbit
Monoclonal
Unconjugated
50 μl, 100 μlPhospho-NAK/TBK1 (S172) Rabbit Monoclonal Antibody [orb866372]
IP, WB
Human, Mouse, Rat
Rabbit
Monoclonal
Unconjugated
100 μl

Quality Guarantee
Explore bioreagents carefree to elevate your research. All our products are rigorously tested for performance. If a product does not perform as described on its datasheet, our scientific support team will provide expert troubleshooting, a prompt replacement, or a refund. For full details, please see our Terms & Conditions and Buying Guide. Contact us at [email protected].

Immunohistochemical analysis of formalin-fixed paraffin embedded Human Prostatic Cancer Tissue using TBK1 antibody

Western blot analysis of Lane 1: Rat Testis Tissue Lysate, Lane 2: Rat Liver Tissue Lysate using TBK1 antibody

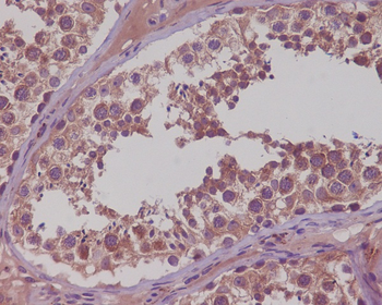
Immunohistochemical analysis of formalin-fixed paraffin embedded Rat Testis Tissue using TBK1 antibody
Quick Database Links
UniProt Details
−Documents Download
Request a Document
Protocol Information
NAK/TBK1 Antibody (orb137920)
Participating in our Biorbyt product reviews program enables you to support fellow scientists by sharing your firsthand experience with our products.
Login to Submit a Review







