You have no items in your shopping cart.
Myeloperoxidase/MPO Antibody
Description
Images & Validation
−| Tested Applications | FC, IHC, WB |
|---|---|
| Reactivity | Human |
| Application Notes |
Key Properties
−| Antibody Type | Primary Antibody |
|---|---|
| Host | Rabbit |
| Clonality | Polyclonal |
| Isotype | Rabbit IgG |
| Immunogen | E.coli-derived human Myeloperoxidase recombinant protein (Position:S406-S745). Human Myeloperoxidase shares 90% amino acid (aa) sequence identity with mouse Myeloperoxidase. |
| Molecular Weight | 60-65 kDa, 80-90 kDa |
| Purification | Immunogen affinity purified. |
Storage & Handling
−| Storage | Maintain refrigerated at 2-8°C for up to 2 weeks. For long term storage store at -20°C in small aliquots to prevent freeze-thaw cycles. |
|---|---|
| Form/Appearance | Lyophilized |
| Concentration | Adding 0.2 ml of distilled water will yield a concentration of 500 μg/ml. |
| Disclaimer | For research use only |
Alternative Names
−Similar Products
−Myeloperoxidase/MPO Antibody [orb402306]
FC, IF, IHC, WB
Human, Mouse, Rat
Rabbit
Polyclonal
Unconjugated
100 μgMPO Rabbit Polyclonal Antibody [orb500992]
ICC, IF, IHC-Fr, IHC-P
Canine, Equine, Guinea pig, Rabbit, Rat
Human, Mouse
Rabbit
Polyclonal
Unconjugated
50 μl, 100 μl, 200 μlMyeloperoxidase / MPO Antibody [orb1410415]
IHC, WB
Human
Mouse
Monoclonal
Unconjugated
100 μg (without BSA and Azide), 100 μg, 20 μgMyeloperoxidase / MPO Antibody [orb1410417]
IHC, WB
Human
Rabbit
Polyclonal
Unconjugated
100 μg (without BSA and Azide), 100 μg, 20 μg

Quality Guarantee
Explore bioreagents carefree to elevate your research. All our products are rigorously tested for performance. If a product does not perform as described on its datasheet, our scientific support team will provide expert troubleshooting, a prompt replacement, or a refund. For full details, please see our Terms & Conditions and Buying Guide. Contact us at [email protected].

Flow Cytometry analysis of HL-60 cells using anti-MPO antibody (Blue line).Isotype control antibody (Green line) was rabbit IgG. Unlabelled sample (Red line) was also used as a control.

WB analysis of MPO using anti-MPO antibody.Lane 1:human HL-60 cell; 2:human A431 cell.

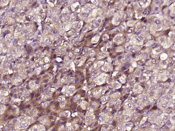
IHC analysis of MPO using anti-MPO antibody. MPO was detected in a paraffin-embedded section of human spleen tissue.

IHC analysis of MPO using anti-MPO antibody. MPO was detected in a paraffin-embedded section of human lung adenocarcinoma tissue.

IHC analysis of MPO using anti-MPO antibody. MPO was detected in a paraffin-embedded section of human endometrial adenocarcinoma tissue.
Quick Database Links
UniProt Details
−Documents Download
Request a Document
Protocol Information
Myeloperoxidase/MPO Antibody (orb402307)
Participating in our Biorbyt product reviews program enables you to support fellow scientists by sharing your firsthand experience with our products.
Login to Submit a Review















