You have no items in your shopping cart.
MTBP Rabbit Polyclonal Antibody
Description
Images & Validation
−| Tested Applications | FC, IHC, WB |
|---|---|
| Dilution Range | WB (1/500 - 1/1000), IH (1/50 - 1/200), FC (1/10 - 1/50) |
| Reactivity | Human |
Key Properties
−| Antibody Type | Primary Antibody |
|---|---|
| Host | Rabbit |
| Clonality | Polyclonal |
| Immunogen | KLH-conjugated synthetic peptide encompassing a sequence within the C-terminal region of human MTBP. The exact sequence is proprietary. |
| Target | MTBP |
| Purification | The antibody was purified by immunogen affinity chromatography. |
| Conjugation | Unconjugated |
Storage & Handling
−| Storage | Maintain refrigerated at 2-8°C for up to 2 weeks. For long term storage store at -20°C in small aliquots to prevent freeze-thaw cycles. |
|---|---|
| Form/Appearance | Liquid |
| Buffer/Preservatives | 0.42% Potassium phosphate, 0.87% Sodium chloride, pH 7.3, 30% glycerol, and 0.01% sodium azide. |
| Expiration Date | 12 months from date of receipt. |
| Disclaimer | For research use only |
Alternative Names
−Similar Products
−Phospho-MDM2 (Thr218) Rabbit Polyclonal Antibody [orb6405]
FC, IF, IHC-Fr, IHC-P
Bovine, Canine, Equine
Human, Mouse, Rat
Rabbit
Polyclonal
Unconjugated
50 μl, 100 μl, 200 μlMDM2 Rabbit Polyclonal Antibody [orb500759]
IF, IHC-Fr, IHC-P
Canine, Porcine, Rat
Human, Mouse
Rabbit
Polyclonal
Unconjugated
100 μl, 50 μl, 200 μlPhospho-MDM2 (Ser186) Rabbit Polyclonal Antibody [orb6406]
IF, IHC-Fr, IHC-P
Bovine, Canine, Equine, Gallus, Guinea pig, Porcine, Rabbit
Human
Rabbit
Polyclonal
Unconjugated
50 μl, 100 μl, 200 μlMTBP Rabbit Polyclonal Antibody [orb582738]
WB
Bovine, Canine, Equine, Guinea pig, Mouse, Porcine, Rabbit, Rat, Zebrafish
Human
Rabbit
Polyclonal
Unconjugated
100 μlMDM2 Rabbit Polyclonal Antibody [orb500542]
IF, IHC-Fr, IHC-P
Mouse
Rabbit
Polyclonal
Unconjugated
50 μl, 100 μl, 200 μl

Quality Guarantee
Explore bioreagents carefree to elevate your research. All our products are rigorously tested for performance. If a product does not perform as described on its datasheet, our scientific support team will provide expert troubleshooting, a prompt replacement, or a refund. For full details, please see our Terms & Conditions and Buying Guide. Contact us at [email protected].

Western blot analysis of MTBP expression in K562 (A) whole cell lysates. (Predicted band size: 102 kD; Observed band size: 97 kD)

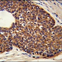
Immunohistochemical analysis of MTBP staining in human prostata carcinoma formalin fixed paraffin embedded tissue section. The section was pre-treated using heat mediated antigen retrieval with sodium citrate buffer (pH 6.0). The section was then incubated with the antibody at room temperature and detected using an HRP conjugated compact polymer system. DAB was used as the chromogen. The section was then counterstained with haematoxylin and mounted with DPX.

Flow cytometric analysis of K562 cells using Anti-MTBP Antibody. The cells were fixed with 2% paraformaldehyde (10 min) and then permeabilized with 90% methanol for 10 min. The cells were incubated in 2% bovine serum albumin to block non-specific protein-protein interactions followed by the antibody at 37 °C for 60 min. The secondary antibody Goat Anti-Rabbit IgG (H&L) - AF488 was incubated at 37 °C for 40 min. Isotype control antibody (blue line) was used under the same condition.
Documents Download
Request a Document
Protocol Information
MTBP Rabbit Polyclonal Antibody (orb1879572)
Participating in our Biorbyt product reviews program enables you to support fellow scientists by sharing your firsthand experience with our products.
Login to Submit a Review















