You have no items in your shopping cart.
MCAK/KIF2C Rabbit Polyclonal Antibody
Description
Research Area
Images & Validation
−| Tested Applications | FC, ICC, IF, IHC, WB |
|---|---|
| Dilution Range | Western blot, 0.1-0.5μg/ml, Human, Mouse Immunohistochemistry (Paraffin-embedded Section), 0.5-1μg/ml, Mouse, Rat Immunocytochemistry/Immunofluorescence, 2μg/ml, Human Flow Cytometry (Fixed), 1-3μg/1x10^6 cells, Human |
| Reactivity | Human, Mouse, Rat |
Key Properties
−| Antibody Type | Primary Antibody |
|---|---|
| Host | Rabbit |
| Clonality | Polyclonal |
| Isotype | Rabbit IgG |
| Immunogen | E.coli-derived human MCAK recombinant protein (Position: G531-Q725). Human MCAK shares 87% amino acid (aa) sequence identity with both mouse and rat MCAK. |
| Target | Kinesin-like protein KIF2C |
| Molecular Weight | 81 kDa |
| Purification | Immunogen affinity purified. |
| Conjugation | Unconjugated |
Storage & Handling
−| Storage | Maintain refrigerated at 2-8°C for up to 2 weeks. For long term storage store at -20°C in small aliquots to prevent freeze-thaw cycles. |
|---|---|
| Form/Appearance | Lyophilized |
| Buffer/Preservatives | Each vial contains antibody formulated with stabilizing components, 0.9 mg NaCl, 0.2 mg Na2HPO4, and 0.05 mg NaN3. *This antibody is supplied in a stabilized formulation. Compatibility with conjugation reactions depends on the chemistry of the conjugation method used. For conjugation methods that are not compatible with the stabilizing components present in this formulation, a carrier-free antibody format is required. |
| Concentration | Adding 0.2 ml of distilled water will yield a concentration of 500 μg/ml. |
| Expiration Date | 12 months from date of receipt. |
| Disclaimer | For research use only |
Alternative Names
−Similar Products
−MCAK/KIF2C Rabbit Polyclonal Antibody (PE) [orb489125]
ICC, IF
Bovine, Canine, Chinese Hamster, Equine, Gallus, Human, Mouse, Porcine, Rat, Sheep
Rabbit
Polyclonal
PE
100 μlMCAK/KIF2C Rabbit Polyclonal Antibody (FITC) [orb189821]
ICC, IF
Bovine, Canine, Chinese Hamster, Equine, Gallus, Human, Mouse, Porcine, Rat, Sheep
Rabbit
Polyclonal
FITC
100 μlMCAK/KIF2C Rabbit Polyclonal Antibody (HRP) [orb473254]
ELISA, IHC-Fr, IHC-P
Bovine, Canine, Chinese Hamster, Equine, Gallus, Human, Mouse, Porcine, Rat, Sheep
Rabbit
Polyclonal
HRP
100 μlMCAK/KIF2C Rabbit Polyclonal Antibody (Biotin) [orb451419]
ELISA, ICC, IF, IHC-Fr, IHC-P
Bovine, Canine, Chinese Hamster, Equine, Gallus, Human, Mouse, Porcine, Rat, Sheep
Rabbit
Polyclonal
Biotin
100 μlMCAK/KIF2C Rabbit Polyclonal Antibody [orb185507]
ELISA, ICC, IF, IHC-Fr, IHC-P
Bovine, Canine, Chinese Hamster, Equine, Gallus, Human, Mouse, Porcine, Rat, Sheep
Human
Rabbit
Polyclonal
Unconjugated
50 μl, 100 μl, 200 μl

Quality Guarantee
Explore bioreagents carefree to elevate your research. All our products are rigorously tested for performance. If a product does not perform as described on its datasheet, our scientific support team will provide expert troubleshooting, a prompt replacement, or a refund. For full details, please see our Terms & Conditions and Buying Guide. Contact us at [email protected].

Anti-MCAK antibody, IHC(P): Mouse Testis Tissue.

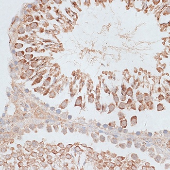
Anti-MCAK antibody, IHC(P): Rat Testis Tissue.

Anti-MCAK antibody, IHC(P): Rat Thymus Tissue.

Flow Cytometry analysis of K562 cells using anti-MCAK antibody. Overlay histogram showing K562 cells (Blue line). To facilitate intracellular staining, cells were fixed with 4% paraformaldehyde and permeabilized with permeabilization buffer. The cells were blocked with 10% normal goat serum. And then incubated with rabbit anti-MCAK Antibody (1 µg/1x10^6 cells) for 30 min at 20°C. DyLight®488 conjugated goat anti-rabbit IgG (5-10 µg/1x10^6 cells) was used as secondary antibody for 30 minutes at 20°C. Isotype control antibody (Green line) was rabbit IgG (1 µg/1x10^6) used under the same conditions. Unlabelled sample without incubation with primary antibody and secondary antibody (Red line) was used as a blank control.

IF analysis of MCAK using anti-MCAK antibody. MCAK was detected in immunocytochemical section of U20S cells. Enzyme antigen retrieval was performed using IHC enzyme antigen retrieval reagent for 15 mins. The cells were blocked with 10% goat serum. And then incubated with 2 µg/mL rabbit anti-MCAK Antibody overnight at 4°C. DyLight®488 Conjugated Goat Anti-Rabbit IgG was used as secondary antibody at 1:100 dilution and incubated for 30 minutes at 37°C. The section was counterstained with DAPI. Visualize using a fluorescence microscope and filter sets appropriate for the label used.

Western blot analysis of MCAK using anti-MCAK antibody. Electrophoresis was performed on a 5-20% SDS-PAGE gel at 70V (Stacking gel) / 90V (Resolving gel) for 2-3 hours. The sample well of each lane was loaded with 30 ug of sample under reducing conditions. Lane 1: human K562 whole cell lysates, Lane 2: human A431 whole cell lysates, Lane 3: human SiHa whole cell lysates. After electrophoresis, proteins were transferred to a nitrocellulose membrane at 150 mA for 50-90 minutes. Blocked the membrane with 5% non-fat milk/TBS for 1.5 hour at RT. The membrane was incubated with rabbit anti-MCAK antigen affinity purified polyclonal antibody at 0.5 µg/mL overnight at 4°C, then washed with TBS-0.1% Tween 3 times with 5 minutes each and probed with a goat anti-rabbit IgG-HRP secondary antibody at a dilution of 1:5000 for 1.5 hour at RT. The signal is developed using an Enhanced Chemiluminescent detection (ECL) kit with Tanon 5200 system. A specific band was detected for MCAK at approximately 81 kDa. The expected band size for MCAK is at 81 kDa.
Quick Database Links
UniProt Details
−Documents Download
Request a Document
Protocol Information
MCAK/KIF2C Rabbit Polyclonal Antibody (orb215984)
Participating in our Biorbyt product reviews program enables you to support fellow scientists by sharing your firsthand experience with our products.
Login to Submit a Review