You have no items in your shopping cart.
HOOK2 Rabbit Polyclonal Antibody (PE)
SKU: orb2609934
Description
Research Area
Disease Biomarkers
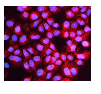
Images & Validation
−
| Tested Applications | FC |
|---|---|
| Dilution Range | Flow Cytometry, Optimal dilutions should be determined by end users. |
| Reactivity | Human |
Key Properties
−| Antibody Type | Primary Antibody |
|---|---|
| Host | Rabbit |
| Clonality | Polyclonal |
| Isotype | Rabbit IgG |
| Immunogen | E.coli-derived human HOOK2 recombinant protein (Position: E500-R702). |
| Target | Protein Hook homolog 2 |
| Purification | Immunogen affinity purified. |
| Conjugation | PE |
Storage & Handling
−| Storage | At -20°C for one year from date of receipt. Avoid repeated freezing and thawing. Protect from light. |
|---|---|
| Form/Appearance | Liquid |
| Buffer/Preservatives | Each vial contains 50% glycerol, 0.9% NaCl, 0.2% Na2HPO4, 0.02% NaN3. |
| Expiration Date | 12 months from date of receipt. |
| Disclaimer | For research use only |
Alternative Names
−Protein Hook homolog 2; h-hook2; hHK2; HOOK2

Quality Guarantee
Explore bioreagents carefree to elevate your research. All our products are rigorously tested for performance. If a product does not perform as described on its datasheet, our scientific support team will provide expert troubleshooting, a prompt replacement, or a refund. For full details, please see our Terms & Conditions and Buying Guide. Contact us at [email protected].
Quick Database Links
Gene Symbol
Protein Hook homolog 2
UniProt
UniProt Details
− No UniProt data available
Documents Download
Datasheet
Product Information
Request a Document
HOOK2 Rabbit Polyclonal Antibody (PE) (orb2609934)
Based on 0 reviews
Participating in our Biorbyt product reviews program enables you to support fellow scientists by sharing your firsthand experience with our products.
Login to Submit a Review