You have no items in your shopping cart.
You have no items in your shopping cart.
| Catalog Number | orb393267 |
|---|---|
| Category | Antibodies |
| Description | The DGK kappa Antibody is suitable for IF, IHC, WB. It is a Polyclonal, Unconjugated antibody which raised against KLH-conjugated synthetic peptide encompassing a sequence within the C-term region of human DGK kappa. The exact sequence is proprietary. Purification: The antibody was purified by immunogen affinity chromatography. |
| Clonality | Polyclonal |
| Species/Host | Rabbit |
| Conjugation | Unconjugated |
| Reactivity | Human, Rat |
| Form/Appearance | Liquid in 0.42% Potassium phosphate, 0.87% Sodium chloride, pH 7.3, 30% glycerol, and 0.01% sodium azide. |
| Purification | The antibody was purified by immunogen affinity chromatography. |
| Immunogen | KLH-conjugated synthetic peptide encompassing a sequence within the C-term region of human DGK kappa. The exact sequence is proprietary. |
| UniProt ID | Q5KSL6 |
| Tested applications | IF, IHC, WB |
| Dilution range | WB: 1:500:1000, IHC-P: 1:100:200, IF/ICC: 1:100:500 |
| Antibody Type | Primary Antibody |
| Storage | Maintain refrigerated at 2-8°C for up to 2 weeks. For long term storage store at -20°C in small aliquots to prevent freeze-thaw cycles. |
| Alternative names | Diacylglycerol kinase kappa; DAG kinase kappa; 142 Read more... |
| Research Area | Epigenetics |
| Note | For research use only |
| Entrez | 139189 |

Western blot analysis of DGK kappa expression in human lung (A), rat kidney (B) whole cell lysates. (Predicted band size: 141 kD; Observed band size: 141 kD)

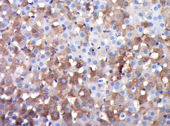
Immunohistochemical analysis of DGK kappa staining in human brain formalin fixed paraffin embedded tissue section. The section was pre-treated using heat mediated antigen retrieval with sodium citrate buffer (pH 6.0). The section was then incubated with the antibody at room temperature and detected using an HRP conjugated compact polymer system. DAB was used as the chromogen. The section was then counterstained with haematoxylin and mounted with DPX.
ELISA, IF, IHC-P, WB | |
Human, Mouse, Rat | |
Polyclonal | |
Unconjugated |
IF, IHC-Fr, IHC-P | |
Human, Mouse | |
Rat | |
Rabbit | |
Polyclonal | |
Unconjugated |
Participating in our Biorbyt product reviews program enables you to support fellow scientists by sharing your firsthand experience with our products.
Login to Submit a Review