You have no items in your shopping cart.
CD146/MCAM Antibody
Description
Images & Validation
−| Tested Applications | IHC, WB |
|---|---|
| Reactivity | Human |
| Application Notes |
Key Properties
−| Antibody Type | Primary Antibody |
|---|---|
| Host | Rabbit |
| Clonality | Polyclonal |
| Isotype | Rabbit IgG |
| Immunogen | E.coli-derived human CD146 recombinant protein (Position: H59-A401). Human CD146 shares 73% amino acid (aa) sequence identity with both mouse and rat CD146. |
| Molecular Weight | 120 kDa |
| Purification | Immunogen affinity purified. |
| Conjugation | Unconjugated |
Storage & Handling
−| Storage | Maintain refrigerated at 2-8°C for up to 2 weeks. For long term storage store at -20°C in small aliquots to prevent freeze-thaw cycles. |
|---|---|
| Form/Appearance | Lyophilized |
| Concentration | Adding 0.2 ml of distilled water will yield a concentration of 500 μg/ml. |
| Disclaimer | For research use only |
Alternative Names
−Similar Products
−CD146/MCAM Antibody (monoclonal, 4C12) [orb654279]
FC, IHC, IHC-Fr, WB
Human
Mouse
Monoclonal
Unconjugated
100 μgCD146 MCAM Rabbit Monoclonal Antibody [orb547823]
FC, ICC, IF, IHC, IP, WB
Human, Mouse, Rat
Rabbit
Monoclonal
Unconjugated
100 μlCD146/MCAM Antibody (monoclonal, 2H12) [orb654280]
IHC, IHC-Fr, WB
Human
Mouse
Monoclonal
Unconjugated
100 μg

Quality Guarantee
Explore bioreagents carefree to elevate your research. All our products are rigorously tested for performance. If a product does not perform as described on its datasheet, our scientific support team will provide expert troubleshooting, a prompt replacement, or a refund. For full details, please see our Terms & Conditions and Buying Guide. Contact us at [email protected].

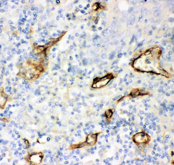
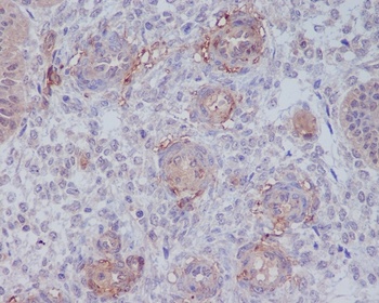
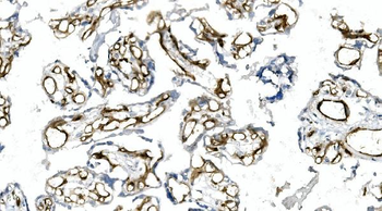
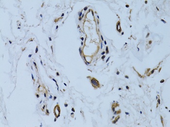
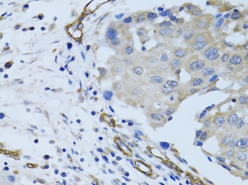
Anti-CD146 antibody, IHC(P): Human Lung Cancer Tissue.

Western blot analysis of CD146 using anti-CD146 antibody. Electrophoresis was performed on a 5-20% SDS-PAGE gel at 70V (Stacking gel) / 90V (Resolving gel) for 2-3 hours. The sample well of each lane was loaded with 30 ug of sample under reducing conditions. Lane 1: human U2OS whole cell lysates. After electrophoresis, proteins were transferred to a nitrocellulose membrane at 150 mA for 50-90 minutes. Blocked the membrane with 5% non-fat milk/TBS for 1.5 hour at RT. The membrane was incubated with rabbit anti-CD146 antigen affinity purified polyclonal antibody at 0.5 µg/mL overnight at 4°C, then washed with TBS-0.1% Tween 3 times with 5 minutes each and probed with a goat anti-rabbit IgG-HRP secondary antibody at a dilution of 1:5000 for 1.5 hour at RT. The signal is developed using an Enhanced Chemiluminescent detection (ECL) kit with Tanon 5200 system. A specific band was detected for CD146 at approximately 120 kDa. The expected band size for CD146 is at 72 kDa.
Quick Database Links
UniProt Details
−Documents Download
Request a Document
Protocol Information
CD146/MCAM Antibody (orb234277)
Participating in our Biorbyt product reviews program enables you to support fellow scientists by sharing your firsthand experience with our products.
Login to Submit a Review





















