You have no items in your shopping cart.
ARNTL2 Antibody
Description
Images & Validation
−
| Tested Applications | ELISA, FC, WB |
|---|---|
| Reactivity | Human, Mouse, Rat |
| Application Notes |
Key Properties
−| Antibody Type | Primary Antibody |
|---|---|
| Host | Rabbit |
| Clonality | Polyclonal |
| Isotype | Rabbit IgG |
| Immunogen | E.coli-derived human ARNTL2 recombinant protein (Position: E461-T575). |
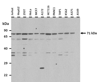
| Molecular Weight | 71 kDa |
| Purification | Immunogen affinity purified. |
| Conjugation | PE |
Storage & Handling
−| Storage | Store at -20°C for one year from date of receipt. After reconstitution, at 4°C for one month. It can also be aliquotted and stored frozen at -20°C for six months. Avoid repeated freeze-thaw cycles. |
|---|---|
| Form/Appearance | Lyophilized |
| Concentration | Adding 0.2 ml of distilled water will yield a concentration of 500 μg/ml. |
| Disclaimer | For research use only |
Alternative Names
−Similar Products
−ARNTL2 Rabbit Polyclonal Antibody [orb577099]
IHC, WB
Canine, Mouse
Human
Rabbit
Polyclonal
Unconjugated
100 μlArntl2 Rabbit Polyclonal Antibody [orb574444]
WB
Bovine, Canine, Equine, Human, Porcine, Rabbit, Rat
Mouse
Rabbit
Polyclonal
Unconjugated
100 μlArntl2 Rabbit Polyclonal Antibody [orb577100]
WB
Bovine, Canine, Equine, Human, Rabbit, Rat
Mouse
Rabbit
Polyclonal
Unconjugated
100 μlARNTL2 Rabbit Polyclonal Antibody [orb154846]
ELISA, IHC
Mouse, Rat
Human
Rabbit
Polyclonal
Unconjugated
100 μg

Quality Guarantee
Explore bioreagents carefree to elevate your research. All our products are rigorously tested for performance. If a product does not perform as described on its datasheet, our scientific support team will provide expert troubleshooting, a prompt replacement, or a refund. For full details, please see our Terms & Conditions and Buying Guide. Contact us at [email protected].
Quick Database Links
UniProt Details
−Documents Download
Request a Document
Protocol Information
ARNTL2 Antibody (orb2610004)
Participating in our Biorbyt product reviews program enables you to support fellow scientists by sharing your firsthand experience with our products.
Login to Submit a Review







