You have no items in your shopping cart.
AMIGO2 Antibody
Description
Research Area
Images & Validation
−| Tested Applications | ELISA, IHC, WB |
|---|---|
| Dilution Range | ELISA:1:2000-1:5000, WB:1:500-1:2000, IHC-P:1:50-1:200 |
| Reactivity | Human, Mouse, Rat |
Key Properties
−| Host | Rabbit |
|---|---|
| Clonality | Polyclonal |
| Isotype | IgG |
| Immunogen | Fusion protein of Human AMIGO2 |
| Target | AMIGO2 |
| Purification | Antigen Affinity Purified |
| Conjugation | Unconjugated |
Storage & Handling
−| Storage | Maintain refrigerated at 2-8°C for up to 2 weeks. For long term storage store at -20°C in small aliquots to prevent freeze-thaw cycles. |
|---|---|
| Form/Appearance | Liquid |
| Buffer/Preservatives | -20°C, pH7.4 PBS, 0.05% NaN3, 40% Glycerol |
| Expiration Date | 12 months from date of receipt. |
| Disclaimer | For research use only |
Alternative Names
−Similar Products
−AMIGO2 Rabbit Polyclonal Antibody [orb389655]
ICC, IF, IHC-P, WB
Human, Mouse, Rat
Rabbit
Polyclonal
Unconjugated
100 μgAMIGO2 Rabbit Polyclonal Antibody [orb155653]
IF, IHC-Fr, IHC-P, WB
Bovine, Canine, Equine, Porcine, Sheep
Human, Mouse, Rat
Rabbit
Polyclonal
Unconjugated
50 μl, 100 μl, 200 μlAMIGO2 Antibody [orb519920]
ELISA, IHC, WB
Human, Mouse, Rat
Rabbit
Polyclonal
Unconjugated
50 μl, 100 μlAMIGO2 Rabbit Polyclonal Antibody [orb582900]
WB
Bovine, Canine, Equine, Mouse, Porcine, Rat
Human
Rabbit
Polyclonal
Unconjugated
100 μl

Quality Guarantee
Explore bioreagents carefree to elevate your research. All our products are rigorously tested for performance. If a product does not perform as described on its datasheet, our scientific support team will provide expert troubleshooting, a prompt replacement, or a refund. For full details, please see our Terms & Conditions and Buying Guide. Contact us at [email protected].

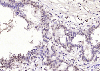
Immunohistochemistry of paraffin-embedded Human breast cancer tissue using AMIGO2 antibody

Western blot aanalysis of Lane 1-2: SP20 cells, mouse heart tissueusing AMIGO2 antibody

Immunohistochemistry of paraffin-embedded Human esophagus cancer tissue using AMIGO2 antibody
Quick Database Links
UniProt Details
−Documents Download
Request a Document
Protocol Information
AMIGO2 Antibody (orb519919)
Participating in our Biorbyt product reviews program enables you to support fellow scientists by sharing your firsthand experience with our products.
Login to Submit a Review






















