You have no items in your shopping cart.
AKR1B1 Antibody
Description
Research Area
Images & Validation
−| Tested Applications | ELISA, IHC, WB |
|---|---|
| Dilution range | ELISA:1:1000-1:5000, WB:1:500-1:2000, IHC-P:1:50-1:200 |
| Reactivity | Human, Mouse, Rat |
Key Properties
−| Host | Rabbit |
|---|---|
| Clonality | Polyclonal |
| Isotype | IgG |
| Immunogen | Fusion protein of Human AKR1B1 |
| Target | AKR1B1 |
| Purification | Antigen Affinity Purified |
| Conjugation | Unconjugated |
Storage & Handling
−| Storage | Maintain refrigerated at 2-8°C for up to 2 weeks. For long term storage store at -20°C in small aliquots to prevent freeze-thaw cycles. |
|---|---|
| Form/Appearance | Liquid |
| Buffer/Preservatives | -20°C, pH7.4 PBS, 0.05% NaN3, 40% Glycerol |
| Disclaimer | For research use only |
Alternative Names
−Similar Products
−AKR1B1 Antibody [orb1410375]
IHC, WB
Human
Rabbit
Monoclonal
Unconjugated
100 μg (without BSA and Azide), 20 μg, 100 μgAldose Reductase rabbit pAb Antibody [orb764516]
ELISA, IF, IHC, WB
Human, Rat
Polyclonal
Unconjugated
100 μl

Quality Guarantee
Explore bioreagents carefree to elevate your research. All our products are rigorously tested for performance. If a product does not perform as described on its datasheet, our scientific support team will provide expert troubleshooting, a prompt replacement, or a refund. For full details, please see our Terms & Conditions and Buying Guide. Contact us at [email protected].

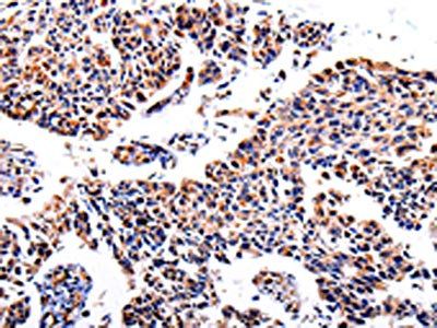
Immunohistochemistry of paraffin-embedded Human lung cancer tissue using AKR1B1 antibody

Western blot aanalysis of Lane 1-2: Hela cells, 293T cellsusing AKR1B1 antibody
Quick Database Links
UniProt Details
−Documents Download
Request a Document
Protocol Information
AKR1B1 Antibody (orb518319)
Participating in our Biorbyt product reviews program enables you to support fellow scientists by sharing your firsthand experience with our products.
Login to Submit a Review

















