You have no items in your shopping cart.
ADGRA1 Antibody
Description
Images & Validation
−| Tested Applications | ELISA, IHC |
|---|---|
| Dilution range | IHC: 1:20-1:200 |
| Reactivity | Human |
Key Properties
−| Antibody Type | Primary Antibody |
|---|---|
| Host | Rabbit |
| Clonality | Polyclonal |
| Isotype | IgG |
| Immunogen | G protein-coupled receptor 123 |
| Target | ADGRA1 |
| Purity | ≥95% as determined by SDS-PAGE |
| Purification | Immunogen affinity purified |
| Conjugation | Unconjugated |
Storage & Handling
−| Storage | Maintain refrigerated at 2-8°C for up to 2 weeks. For long term storage store at -20°C in small aliquots to prevent freeze-thaw cycles. |
|---|---|
| Form/Appearance | liquid |
| Disclaimer | For research use only |
Similar Products
−ADGRA1 Rabbit Polyclonal Antibody [orb584478]
WB
Bovine, Canine, Equine, Guinea pig, Rabbit, Rat
Human
Rabbit
Polyclonal
Unconjugated
100 μlADGRA1 Antibody [orb1555076]
ELISA, IF, IHC-P, WB
Human
Rabbit
Polyclonal
Unconjugated
100 μl, 200 μl, 50 μlADGRA1 Rabbit Polyclonal Antibody (HRP) [orb2098133]
WB
Bovine, Canine, Equine, Guinea pig, Human, Rabbit, Rat
Rabbit
Polyclonal
HRP
100 μl

Quality Guarantee
Explore bioreagents carefree to elevate your research. All our products are rigorously tested for performance. If a product does not perform as described on its datasheet, our scientific support team will provide expert troubleshooting, a prompt replacement, or a refund. For full details, please see our Terms & Conditions and Buying Guide. Contact us at [email protected].

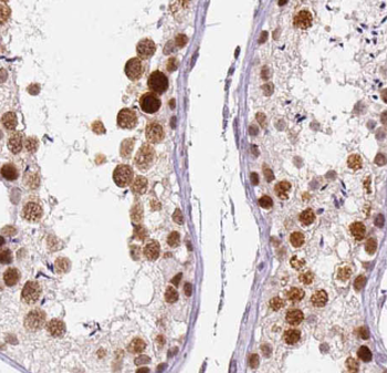
Immunohistochemistry of paraffin-embedded human testis tissue slide using orb395090 (GPR123-Specific Antibody) at dilution of 1:50.
Quick Database Links
UniProt Details
−Documents Download
Request a Document
Protocol Information
ADGRA1 Antibody (orb395090)
Participating in our Biorbyt product reviews program enables you to support fellow scientists by sharing your firsthand experience with our products.
Login to Submit a Review
