You have no items in your shopping cart.
VTN Antibody
Description
Research Area
Images & Validation
−| Tested Applications | ELISA, IF, IHC, WB |
|---|---|
| Dilution Range | WB:1:2000-5000, IHC-P:1:20-200, IF:1:50-200 |
| Reactivity | Human, Mouse |
Key Properties
−| Host | Rabbit |
|---|---|
| Clonality | Polyclonal |
| Isotype | IgG |
| Immunogen | Recombinant Human Vitronectin protein (31-105AA) |
| Target | VTN |
| Purification | >95%, Protein G purified |
| Conjugation | Unconjugated |
Storage & Handling
−| Storage | Maintain refrigerated at 2-8°C for up to 2 weeks. For long term storage store at -20°C in small aliquots to prevent freeze-thaw cycles. |
|---|---|
| Form/Appearance | Liquid |
| Buffer/Preservatives | Preservative: 0.03% Proclin 300. Constituents: 50% Glycerol |
| Expiration Date | 12 months from date of receipt. |
| Disclaimer | For research use only |
Alternative Names
−Similar Products
−
Quality Guarantee
Explore bioreagents carefree to elevate your research. All our products are rigorously tested for performance. If a product does not perform as described on its datasheet, our scientific support team will provide expert troubleshooting, a prompt replacement, or a refund. For full details, please see our Terms & Conditions and Buying Guide. Contact us at [email protected].

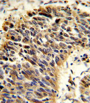
Immunohistochemical staining of human lung cancer using VTN antibody

Immunofluorescence analysis of HepG2 cells using VTN antibody

Immunohistochemical staining of human liver cancer using VTN antibody
Quick Database Links
UniProt Details
−Documents Download
Request a Document
Protocol Information
Filter by Applications
Filter by Species
Angelini, Aude et al. Sex-specific phenotypes in the aging mouse heart and consequences for chronic fibrosis Am J Physiol Heart Circ Physiol, 323, H285-H300 (2022)
Applications
Reactivity
VTN Antibody (orb44435)
Participating in our Biorbyt product reviews program enables you to support fellow scientists by sharing your firsthand experience with our products.
Login to Submit a Review















