You have no items in your shopping cart.
RAB1A Antibody (RPE)
Description
Research Area
Images & Validation
−| Tested Applications | IP, WB |
|---|---|
| Dilution Range | WB (1:1000) |
| Reactivity | Human, Mouse |
| Application Notes |
Key Properties
−| Host | Mouse |
|---|---|
| Clonality | Monoclonal |
| Isotype | IgG1 |
| Clone No. | 7H4 |
| Immunogen | Full length recombinant RAB1A protein |
| Target | RAB1A |
| Molecular Weight | 23 kDa |
| Purification | Protein G Purified |
| Conjugation | RPE |
Storage & Handling
−| Storage | Conjugated antibodies should be stored according to the product label |
|---|---|
| Buffer/Preservatives | 95.46mM Phosphate, 2.48mM MES and 2mM EDTA |
| Concentration | 1mg/ml |
| Expiration Date | 12 months from date of receipt. |
| Disclaimer | For research use only |
Alternative Names
−Similar Products
−
Quality Guarantee
Explore bioreagents carefree to elevate your research. All our products are rigorously tested for performance. If a product does not perform as described on its datasheet, our scientific support team will provide expert troubleshooting, a prompt replacement, or a refund. For full details, please see our Terms & Conditions and Buying Guide. Contact us at [email protected].

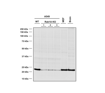
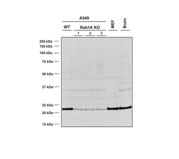
Western Blot analysis of Human, Mouse A549 WT and KO cells, MEF, mouse brain cells showing detection of RAB1A protein using Mouse Anti-RAB1A Monoclonal Antibody, Clone 7H4. Lane 1: MW ladder. Lane 2: WT A549 cells. Lane 3-5: KO A549 clones. Lane 6: MEF cells. Lane 7: mouse brain cells. Load: 10 ug (A549, MEF); 20 ug (Mouse Brain). Primary Antibody: Mouse Anti-RAB1A Monoclonal Antibody at 1:1000.

Immunoprecipitation analysis using Mouse Anti-RAB1A Monoclonal Antibody, Clone 7H4. Tissue: HEK293 cells overexpressing RAB1A, RAB1B, and RAB1C. Species: Human. Primary Antibody: Mouse Anti-RAB1A Monoclonal Antibody for 2 hours.
Quick Database Links
UniProt Details
−NCBI Gene Details
−NCBI Reference Sequences
−| Protein | NP_004152.1 |
|---|
Documents Download
Request a Document
Protocol Information
RAB1A Antibody (RPE) (orb699454)
Participating in our Biorbyt product reviews program enables you to support fellow scientists by sharing your firsthand experience with our products.
Login to Submit a Review
