You have no items in your shopping cart.
ICAM-1 Antibody / CD54
Description
Research Area
Images & Validation
−| Tested Applications | FA, FACS, IHC-P |
|---|---|
| Dilution range | Flow cytometry: 0.5-1ug/million cells in 0.1ml,Functional testing (order BSA/sodium azide-free format),Immunohistochemistry (FFPE): 2-4ug/ml for 30 min at RT (1),Prediluted IHC only format: incubate for 30 min at RT (2) |
| Reactivity | Human |
| Application Notes |
Key Properties
−| Antibody Type | Primary Antibody |
|---|---|
| Host | Mouse |
| Clonality | Monoclonal |
| Isotype | Mouse IgG2b, kappa |
| Clone No. | 1H4 or W-CAM-1 or Wehi-CAM-1 |
| Immunogen | Raji Burkitt lymphoma cells were used as the immunogen for the ICAM-1 antibody. |
| Purification | Protein G affinity chromatography |
| Conjugation | Unconjugated |
Storage & Handling
−| Storage | Maintain refrigerated at 2-8°C for up to 2 weeks. For long term storage store at -20°C in small aliquots to prevent freeze-thaw cycles. |
|---|---|
| Disclaimer | For research use only |
Similar Products
−
Quality Guarantee
Explore bioreagents carefree to elevate your research. All our products are rigorously tested for performance. If a product does not perform as described on its datasheet, our scientific support team will provide expert troubleshooting, a prompt replacement, or a refund. For full details, please see our Terms & Conditions and Buying Guide. Contact us at [email protected].

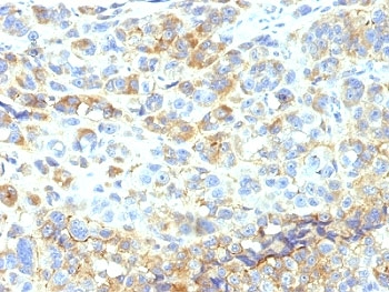
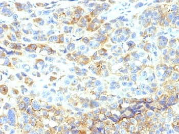
IHC analysis of formalin-fixed, paraffin-embedded human melanoma stained with ICAM-1 antibody (clone 1H4).

Western blot testing of human Raji cell lysate with ICAM-1 antibody (clone 1H4). Predicted molecular weight: ~58/75-115kDa (unmodified/glycosylated).

SDS-PAGE Analysis of Purified, BSA-Free ICAM-1 Antibody (clone 1H4 or W-CAM-1 or Wehi-CAM-1). Confirmation of Integrity and Purity of the Antibody.
Quick Database Links
UniProt Details
−Documents Download
Request a Document
Protocol Information
ICAM-1 Antibody / CD54 (orb639471)
Participating in our Biorbyt product reviews program enables you to support fellow scientists by sharing your firsthand experience with our products.
Login to Submit a Review







