You have no items in your shopping cart.
ERBB4 Antibody
Description
Images & Validation
−| Tested Applications | FC, IHC |
|---|---|
| Dilution range | IHC: 1/200 - 1/1000; FCM: 1/200 - 1/400; ELISA: 1/10000 |
| Reactivity | Human |
Key Properties
−| Antibody Type | Primary Antibody |
|---|---|
| Host | Mouse |
| Clonality | Monoclonal |
| Isotype | Mouse IgG1 |
| Clone No. | 5G6B4 |
| Immunogen | Purified recombinant fragment of human ERBB4 (AA: 1159-1308) expressed in E. Coli. |
| Target | ERBB4 |
| Molecular Weight | 146.8kDa |
| Conjugation | Unconjugated |
Storage & Handling
−| Storage | Maintain refrigerated at 2-8°C for up to 2 weeks. For long term storage store at -20°C in small aliquots to prevent freeze-thaw cycles. |
|---|---|
| Buffer/Preservatives | Purified antibody in PBS with 0.05% sodium azide |
| Concentration | Approximately 1mg/ml (varies from batch to batch). Please inquire for precise concentration. |
| Disclaimer | For research use only |
Alternative Names
−Similar Products
−Prolyl Endopeptidase/PREP Antibody [orb763071]
ELISA, FC, IHC, WB
Human, Rat
Rabbit
Polyclonal
Unconjugated
100 μgPhospho-HER4 (Tyr984) Rabbit Polyclonal Antibody [orb5852]
IF, IHC-Fr, IHC-P
Mouse, Rat
Human, Mouse, Rat
Rabbit
Polyclonal
Unconjugated
50 μl, 100 μl, 200 μlHuman V-Erb A Erythroblastic Leukemia Viral Oncogene Homolog 4 (ErbB4) ELISA Kit [orb778566]
Human
0.16-10 ng/mL
0.064 ng/mL
96 T, 48 T

Quality Guarantee
Explore bioreagents carefree to elevate your research. All our products are rigorously tested for performance. If a product does not perform as described on its datasheet, our scientific support team will provide expert troubleshooting, a prompt replacement, or a refund. For full details, please see our Terms & Conditions and Buying Guide. Contact us at [email protected].

ELISA Black line: Control Antigen (100 ng); Purple line: Antigen(10ng); Blue line: Antigen (50 ng); Red line: Antigen (100 ng)

Flow cytometric analysis of Hela cells using ERBB4 antibody

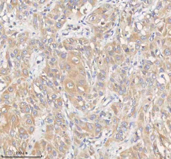
Immunohistochemical analysis of formalin-fixed and paraffin-embedded cervical cancer tissues using ERBB4 antibody

Western blot analysis of human recombinant protein using ERBB4 antibody

Western blot analysis of HEK293 using ERBB4 antibody
Documents Download
Request a Document
Protocol Information
ERBB4 Antibody (orb229774)
Participating in our Biorbyt product reviews program enables you to support fellow scientists by sharing your firsthand experience with our products.
Login to Submit a Review




























