You have no items in your shopping cart.
CPT1A Antibody
Description
Research Area
Images & Validation
−| Tested Applications | ELISA, IHC, IP, WB |
|---|---|
| Dilution Range | WB: 1:500-1:1000; IHC: 1:20-1:200; IP: 1:500-1:1000 |
| Reactivity | Human, Mouse, Rat |
Key Properties
−| Antibody Type | Primary Antibody |
|---|---|
| Host | Mouse |
| Clonality | Monoclonal |
| Isotype | IgG1 |
| Immunogen | carnitine palmitoyltransferase 1A(liver) |
| Target | CPT1A |
| Molecular Weight | 86 kDa |
| Purity | ≥95% as determined by SDS-PAGE |
| Purification | Protein A+G purified |
| Conjugation | Unconjugated |
Storage & Handling
−| Storage | Maintain refrigerated at 2-8°C for up to 2 weeks. For long term storage store at -20°C in small aliquots to prevent freeze-thaw cycles. |
|---|---|
| Form/Appearance | liquid |
| Expiration Date | 12 months from date of receipt. |
| Disclaimer | For research use only |
Alternative Names
−Similar Products
−CPT1A Rabbit Polyclonal Antibody [orb579286]
IHC, WB
Bovine, Canine, Equine, Guinea pig, Mouse, Rabbit, Rat, Sheep, Zebrafish
Human
Rabbit
Polyclonal
Unconjugated
100 μlCPT1A Rabbit Polyclonal Antibody [orb1098014]
ELISA, FC, ICC, IF, IHC, WB
Human, Mouse, Rat
Rabbit
Polyclonal
Unconjugated
100 μgHuman Carnitine Palmitoyltransferase 1A, Liver (CPT1A) ELISA Kit [orb776937]
Human
0.16-10 ng/mL
0.056 ng/mL
96 T, 48 TRat Carnitine Palmitoyltransferase 1A, Liver (CPT1A) ELISA Kit [orb780867]
Rat
3.13-200 ng/mL
1.23 ng/mL
96 T, 48 T

Quality Guarantee
Explore bioreagents carefree to elevate your research. All our products are rigorously tested for performance. If a product does not perform as described on its datasheet, our scientific support team will provide expert troubleshooting, a prompt replacement, or a refund. For full details, please see our Terms & Conditions and Buying Guide. Contact us at [email protected].

IP Result of anti-CPT1A (IP: orb394913, 4 ug; Detection: orb394913 1:500) with MCF-7 cells lysate 1200 ug.

L02 cells were subjected to SDS PAGE followed by western blot with orb394913 (CPT1A antibody) at dilution of 1:500.

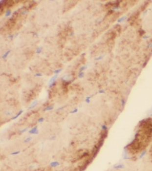
Immunohistochemistry of paraffin-embedded human heart using orb394913 (CPT1A antibody) at dilution of 1:50.
Quick Database Links
UniProt Details
−Documents Download
Request a Document
Protocol Information
CPT1A Antibody (orb394913)
Participating in our Biorbyt product reviews program enables you to support fellow scientists by sharing your firsthand experience with our products.
Login to Submit a Review
























