You have no items in your shopping cart.
You have no items in your shopping cart.
| Catalog Number | orb1972601 |
|---|---|
| Category | Antibodies |
| Description | Anti-NT5M Antibody. Tested in WB, ELISA applications. This antibody reacts with Human, Mouse, Rat. |
| Clonality | Polyclonal |
| Species/Host | Rabbit |
| Isotype | IgG |
| Conjugation | Unconjugated |
| Reactivity | Human, Mouse, Rat |
| Form/Appearance | Lyophilized |
| Concentration | Adding 0.2 ml of distilled water will yield a concentration of 500 μg/ml. |
| Purification | Immunogen affinity purified. |
| Immunogen | E.coli-derived human NT5M recombinant protein (Position: F53-D164). Human NT5M shares 93.8% amino acid (aa) sequence identity with mouse NT5M. |
| UniProt ID | Q9NPB1 |
| MW | 26 kDa |
| Tested applications | ELISA, WB |
| Application notes | Western blot, 0.25-0.5 μg/ml, Mouse, Rat ELISA, 0.1-0.5 μg/ml, -. Adding 0.2 ml of distilled water will yield a concentration of 500 μg/ml |
| Antibody Type | Primary Antibody |
| Storage | Maintain refrigerated at 2-8°C for up to 2 weeks. For long term storage store at -20°C in small aliquots to prevent freeze-thaw cycles. |
| Note | For research use only |

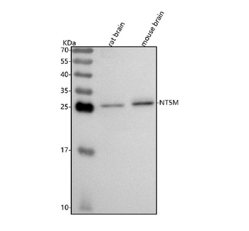
Western blot analysis of NT5M using anti-NT5M antibody. Electrophoresis was performed on a 5-20% SDS-PAGE gel at 70V (Stacking gel) / 90V (Resolving gel) for 2-3 hours. The sample well of each lane was loaded with 30 ug of sample under reducing conditions. Lane 1: rat brain tissue lysates, Lane 2: mouse brain tissue lysates. After electrophoresis, proteins were transferred to a nitrocellulose membrane at 150 mA for 50-90 minutes. Blocked the membrane with 5% non-fat milk/TBS for 1.5 hour at RT. The membrane was incubated with rabbit anti-NT5M antigen affinity purified polyclonal antibody at 0.5 µg/mL overnight at 4°C, then washed with TBS-0.1% Tween 3 times with 5 minutes each and probed with a goat anti-rabbit IgG-HRP secondary antibody at a dilution of 1:5000 for 1.5 hour at RT. The signal is developed using an Enhanced Chemiluminescent detection (ECL) kit with Tanon 5200 system. A specific band was detected for NT5M at approximately 26 kDa. The expected band size for NT5M is at 26 kDa.
WB | |
Bovine, Canine, Mouse, Porcine, Rabbit, Rat | |
Human | |
Rabbit | |
Polyclonal | |
Unconjugated |
WB | |
Bovine, Canine, Equine, Guinea pig, Mouse, Porcine, Rabbit, Rat | |
Human | |
Rabbit | |
Polyclonal | |
Unconjugated |
WB | |
Bovine, Gallus, Human, Porcine, Rat | |
Mouse | |
Rabbit | |
Polyclonal | |
Unconjugated |
Participating in our Biorbyt product reviews program enables you to support fellow scientists by sharing your firsthand experience with our products.
Login to Submit a Review