You have no items in your shopping cart.
Alpha smooth muscle Actin Mouse Monoclonal Antibody
Description
Research Area
Images & Validation
−| Tested Applications | FC, ICC, IF, IHC-Fr, IHC-P, WB |
|---|---|
| Dilution Range | WB=1:1000-5000, IHC-P=1:200-500, IHC-F=1:200-500, ICC/IF=1:100-500, IF=1:200-500, Flow-Cyt=1ug/Test |
| Reactivity | Human, Mouse, Rat |
| Predicted Reactivity | Gallus |
Related Conjugates & Formulations
−Key Properties
−| Antibody Type | Primary Antibody |
|---|---|
| Host | Mouse |
| Clonality | Monoclonal |
| Isotype | IgG |
| Clone No. | 3F9 |
| Immunogen | KLH conjugated synthetic peptide derived from human Actin alpha |
| Target | ACTA2 |
| Molecular Weight | 42 kDa |
| Purification | Affinity purified by Protein G |
| Conjugation | Unconjugated |
Storage & Handling
−| Storage | Maintain refrigerated at 2-8°C for up to 2 weeks. For long term storage store at -20°C in small aliquots to prevent freeze-thaw cycles. |
|---|---|
| Form/Appearance | Liquid |
| Buffer/Preservatives | 0.01M TBS (pH7.4) with 1% rAlbumin, 0.02% Proclin300 and 50% Glycerol. |
| Concentration | 1mg/ml |
| Expiration Date | 12 months from date of receipt. |
| Disclaimer | For research use only |
Alternative Names
−Similar Products
−Actin, Muscle Specific (Muscle Cell Marker) Antibody - With BSA and Azide [orb1461506]
FC, IF, IHC, WB
Human, Rabbit, Rat
Mouse
Monoclonal
Unconjugated
Actin, Muscle Specific (Muscle Cell Marker) Antibody - With BSA and Azide [orb1789470]
FC, IF, IHC, WB
Human, Rabbit, Rat
Mouse
Monoclonal
Unconjugated
20 μgACTA2 Antibody [orb389241]
FC, IF, IHC
Human, Rat
Mouse
Monoclonal
Unconjugated
20 μg, 100 μg, 100 μg (without BSA and Azide)ACTA2 Antibody [orb389242]
FC, IF, IHC
Human, Rat
Mouse
Monoclonal
Unconjugated
20 μg, 100 μg, 100 μg (without BSA and Azide)Alpha smooth muscle Actin Mouse Monoclonal Antibody [orb500840]
FC, ICC, IF, IHC-Fr, IHC-P, WB
Gallus
Human, Mouse, Rat
Mouse
Monoclonal
Unconjugated
200 μg, 50 μl, 100 μl, 200 μl

Quality Guarantee
Explore bioreagents carefree to elevate your research. All our products are rigorously tested for performance. If a product does not perform as described on its datasheet, our scientific support team will provide expert troubleshooting, a prompt replacement, or a refund. For full details, please see our Terms & Conditions and Buying Guide. Contact us at [email protected].

Blank control: NIH/3T3. Primary Antibody (green line): Mouse Anti-alpha smooth muscle Actin antibody (orb500841), dilution: 1 ug/Test, Secondary Antibody: Goat anti-mouse IgG-FITC, dilution: 0.5 ug/Test. Protocol, The cells were fixed with 4% PFA (10 min at room temperature) and then permeabilized with 90% ice-cold methanol for 20 min at -20°C. The cells were then incubated in 5% BSA to block non-specific protein-protein interactions for 30 min at room temperature. Cells stained with Primary Antibody for 30 min at room temperature. The secondary antibody used for 40 min at room temperature. Acquisition of 20000 events was performed.

Paraformaldehyde-fixed, paraffin embedded (human colon carcinoma), Antigen retrieval by boiling in sodium citrate buffer (pH6.0) for 15 min, Block endogenous peroxidase by 3% hydrogen peroxide for 20 minutes, Blocking buffer (normal goat serum) at 37°C for 30 min, Antibody incubation with (alpha smooth muscle Actin) Monoclonal Antibody, Unconjugated (ascites of orb500841 3F9) at 1:2000 overnight at 4°C, followed by operating according to SP Kit (Mouse) instructions and DAB staining.

Paraformaldehyde-fixed, paraffin embedded (human colon carcinoma), Antigen retrieval by boiling in sodium citrate buffer (pH6.0) for 15 min, Block endogenous peroxidase by 3% hydrogen peroxide for 20 minutes, Blocking buffer (normal goat serum) at 37°C for 30 min, Antibody incubation with (alpha smooth muscle Actin) Monoclonal Antibody, Unconjugated (orb500841) at 1:200 overnight at 4°C, followed by operating according to SP Kit (Mouse) instructionsand DAB staining.

Paraformaldehyde-fixed, paraffin embedded (Human uterus), Antigen retrieval by boiling in sodium citrate buffer (pH6.0) for 15 min, Block endogenous peroxidase by 3% hydrogen peroxide for 20 minutes, Blocking buffer (normal goat serum) at 37°C for 30 min, Antibody incubation with (alpha smooth muscle Actin) Monoclonal Antibody, Unconjugated (orb500841) at 1:200 overnight at 4°C, followed by operating according to SP Kit (Mouse) instructionsand DAB staining.

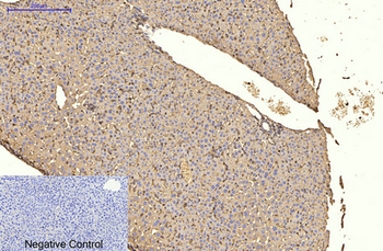
Paraformaldehyde-fixed, paraffin embedded (mouse stomach), Antigen retrieval by boiling in sodium citrate buffer (pH6.0) for 15 min, Block endogenous peroxidase by 3% hydrogen peroxide for 20 minutes, Blocking buffer (normal goat serum) at 37°C for 30 min, Antibody incubation with (alpha smooth muscle Actin) Monoclonal Antibody, Unconjugated (orb500841) at 1:200 overnight at 4°C, followed by operating according to SP Kit (Mouse) instructionsand DAB staining.

Paraformaldehyde-fixed, paraffin embedded (mouse uterus), Antigen retrieval by boiling in sodium citrate buffer (pH6.0) for 15 min, Block endogenous peroxidase by 3% hydrogen peroxide for 20 minutes, Blocking buffer (normal goat serum) at 37°C for 30 min, Antibody incubation with (alpha smooth muscle Actin) Monoclonal Antibody, Unconjugated (orb500841) at 1:200 overnight at 4°C, followed by operating according to SP Kit (Mouse) instructionsand DAB staining.

Paraformaldehyde-fixed, paraffin embedded (rat colon), Antigen retrieval by boiling in sodium citrate buffer (pH6.0) for 15 min, Block endogenous peroxidase by 3% hydrogen peroxide for 20 minutes, Blocking buffer (normal goat serum) at 37°C for 30 min, Antibody incubation with (alpha smooth muscle Actin) Monoclonal Antibody, Unconjugated (ascites of orb500841 3F9) at 1:2000 overnight at 4°C, followed by operating according to SP Kit (Mouse) instructions and DAB staining.

Paraformaldehyde-fixed, paraffin embedded (rat stomach), Antigen retrieval by boiling in sodium citrate buffer (pH6.0) for 15 min, Block endogenous peroxidase by 3% hydrogen peroxide for 20 minutes, Blocking buffer (normal goat serum) at 37°C for 30 min, Antibody incubation with (alpha smooth muscle Actin) Monoclonal Antibody, Unconjugated (orb500841) at 1:200 overnight at 4°C, followed by operating according to SP Kit (Mouse) instructionsand DAB staining.

Paraformaldehyde-fixed, paraffin embedded (rat uterus), Antigen retrieval by boiling in sodium citrate buffer (pH6.0) for 15 min, Block endogenous peroxidase by 3% hydrogen peroxide for 20 minutes, Blocking buffer (normal goat serum) at 37°C for 30 min, Antibody incubation with (alpha smooth muscle Actin) Monoclonal Antibody, Unconjugated (orb500841) at 1:200 overnight at 4°C, followed by operating according to SP Kit (Mouse) instructionsand DAB staining.

Sample: Lane 1: Large intestine (Mouse) Lysate at 40 ug, Lane 2: Stomach (Mouse) Lysate at 40 ug, Lane 3: Uterus (Mouse) Lysate at 40 ug, Lane 4: Kidney (Mouse) Lysate at 40 ug, Lane 5: Small intestine (Mouse) Lysate at 40 ug, Lane 6: NIH/3T3 (Mouse) Cell Lysate at 30 ug, Lane 7: Stomach (Rat) Lysate at 40 ug, Lane 8: Uterus (Rat) Lysate at 40 ug, Lane 9: A549 (Human) Cell Lysate at 30 ug, Lane 10: Hela (Human) Cell Lysate at 30 ug, Lane 11: A431 (Human) Cell Lysate at 30 ug, Lane 12: HepG2 (Human) Cell Lysate at 30 ug, Primary: Anti-alpha smooth muscle Actin (orb500841) at 1/1000 dilution, Secondary: IRDye800CW Goat Anti-Mouse IgG at 1/20000 dilution, Predicted band size: 42 kD, Observed band size: 42 kD.
Quick Database Links
UniProt Details
−Documents Download
Request a Document
Protocol Information
Alpha smooth muscle Actin Mouse Monoclonal Antibody (orb500841)
Participating in our Biorbyt product reviews program enables you to support fellow scientists by sharing your firsthand experience with our products.
Login to Submit a Review























