You have no items in your shopping cart.
AKT phospho S473 Antibody
Description
Images & Validation
−| Tested Applications | ELISA, IF, IHC, Multiplex Assay, WB |
|---|---|
| Dilution Range | ELISA: 1:20,000, IHC: 20 µg/mL, IF: 1:500-1:3,000, WB: 1:500-1:3,000 |
| Reactivity | Human, Monkey, Mouse, Rat |
| Application Notes |
Key Properties
−| Antibody Type | Primary Antibody |
|---|---|
| Host | Mouse |
| Clonality | Monoclonal |
| Isotype | IgG1 |
| Clone No. | 17F6.B11 |
| Immunogen | Anti-AKT pS473 (MOUSE) Monoclonal Antibody was produced by repeated immunizations with a synthetic peptide corresponding to residues surrounding S473 of human AKT1 protein, followed by hybridoma development. |
| Purity | Anti-AKT pS473 Monoclonal Antibody was purified from concentrated tissue culture supernate by Protein A chromatography. This phospho specific monoclonal antibody is specific for phosphorylated human and mouse AKT protein at S473. A BLAST analysis was used to suggest cross-reactivity with AKT pS473 from human, mouse, rat and chimpanzee sources based on 100% homology with the immunizing sequence. Cross-reactivity with AKT from other sources has not been determined. |
| Conjugation | Unconjugated |
Storage & Handling
−| Storage | Store Anti-AKT pS473 (MOUSE) Monoclonal Antibody at -20° C prior to opening. Aliquot contents and freeze at -20° C or below for extended storage. Avoid cycles of freezing and thawing. Centrifuge product if not completely clear after standing at room temperature. This product is stable for several weeks at 4° C as an undiluted liquid. Dilute only prior to immediate use. |
|---|---|
| Form/Appearance | Liquid (sterile filtered) |
| Buffer/Preservatives | Preservative: 0.01% (w/v) Sodium Azide. Stabilizer: None; Buffer: 0.02 M Potassium Phosphate, 0.15 M Sodium Chloride, pH 7.2 |
| Concentration | 1.0 mg/ml |
| Expiration Date | 12 months from date of receipt. |
| Dry Ice Shipping | Please note: This product requires shipment on dry ice. A dry ice surcharge will apply. |
| Disclaimer | For research use only |
Alternative Names
−Similar Products
−Phospho-AKT (Ser473) Rabbit Polyclonal Antibody [orb11293]
IF, IHC-Fr, IHC-P, WB
Bovine, Canine, Gallus, Porcine, Rabbit, Sheep
Human, Mouse, Rat
Rabbit
Polyclonal
Unconjugated
50 μl, 100 μl, 200 μlPhospho-Akt1 (Ser473) Recombinant Rabbit Monoclonal Antibody [orb526646]
IF, IHC-Fr, IHC-P, WB
Mouse, Rat
Human
Rabbit
Recombinant
Unconjugated
50 μl, 100 μl, 25 μlPhospho-AKT (Ser473) Mouse Monoclonal Antibody [orb506119]
IF, IHC-Fr, IHC-P
Bovine, Canine, Porcine, Rabbit, Sheep
Human, Mouse, Rat
Mouse
Monoclonal
Unconjugated
200 μg, 50 μl, 100 μl, 200 μlAKT phospho S473 Antibody [orb344404]
ELISA, IF, IHC, Multiplex Assay, WB
Human, Monkey, Mouse, Rat
Mouse
Monoclonal
Unconjugated
25 μlAKT phospho S473 Antibody [orb344456]
ELISA, IF, IHC, WB
Human, Mouse
Mouse
Monoclonal
Unconjugated
1 mg

Quality Guarantee
Explore bioreagents carefree to elevate your research. All our products are rigorously tested for performance. If a product does not perform as described on its datasheet, our scientific support team will provide expert troubleshooting, a prompt replacement, or a refund. For full details, please see our Terms & Conditions and Buying Guide. Contact us at [email protected].

Flow Cytometry results of Anti-AKT pS473 (MOUSE) Monoclonal Antibody. The green histogram represents the A431 cells that were stimulated for 15 minutes with 100 ng/mL EGF. The blue histogram shows the untreated A431 cell population, which is bimodal. Both populations were stained with a 1:50 dilution of the Anti-AKT pS473 (MOUSE) Monoclonal Antibody (p/n orb344403) for 30 mins at 4°C. The secondary antibody, Anti-MOUSE IgG (H&L) (GOAT) Antibody DyLight™ 488 Conjugated was used at a 1:200 dilution for 30 mins at 4°C.

High resolution STED immunofluorescence nanoscopy of Mouse anti-AKT pS473 antibody. Tissue: A431 cells. The merge images (A) and at high magnification (B) show phosphorylated AKT colocalized with the distal microtubules. Fixation: 4% paraformaldehyde for 5 min and after washes blocked with 10% NGS/0.2% Triton X-100 for 30 min. Antigen retrieval: serum deprivation for 12 h. Primary antibody: AKT pS473 antibody at 10 µg/ml and α-tubulin (cyan) (p/n orb345510) at 1.4 µg/ml for 1 h at RT. Secondary antibody: Atto 647N anti-Mouse IgG (ATTO TEC GmbH), and DyLight™488 anti-Rabbit IgG were used at 1.0 µg/ml for 1h at RT for indirect detection. Localization: AKT pS473 is in the cytoplasm and also organized at the periphery of the cell. Staining: AKT pS473 as red signal with bis-benzimide (blue) nuclear counterstain.

Immunofluorescence confocal microscopy of Mouse Anti-AKT pS473 antibody. Tissue: EGF treated A431 cells. Fixation: 0.5% PFA. Antigen retrieval: EGF 15 min. Primary antibody: AKT pS473 antibody at 10 µg/ml for 1 h at RT. Secondary antibody: DyLight 488™ Goat anti-Rabbit IgG, MAb anti-AKT pS473, atto-647N anti-Mouse IgG (Active Motif). at 1:10000 for 45 min at RT. Localization: AKT pS473 is nuclear and occasionally cytoplasmic. Staining: AKT pS473 as red signal with tubulin (cyan).

Immunofluorescence Microscopy of Mouse Anti-AKTpS473 antibody using STED nanoscopy to evaluate AKT activation and migration. Tissue: A431 cells. Antigen retrieval: Panel A: serum starved, unstimulated cells. Panel B: serum starved, EGF stimulated for 15 mins. A massive increase in AKT-pS473 activation, as measured by intensity signal, peaked at 15 minutes and was associated with depolymerized tubulin. Staining: Panel A shows STED data (AKT-pS473, red channel) collected simultaneously with confocal signal (a-tubulin, green channel). Upon stimulation of cells with EGF, a rapid activation of AKT is observed (Panel B) along with a coincident change in the tubulin organization (yellow signal), as well as an extensive cell shape-change (cell membrane folding) and accumulation of AKTpS473 at the cell periphery.

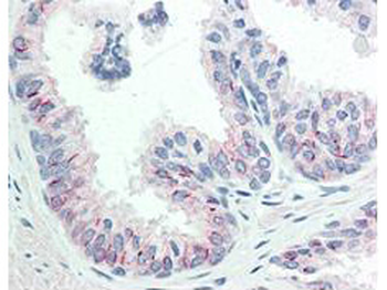
Immunohistochemistry of Mouse anti-AKT pS473 antibody. Tissue: human prostate tissue. Fixation: formalin fixed paraffin embedded. Antigen retrieval: not required. Primary antibody: AKT pS473 antibody at 20 µg/ml for 1 h at RT. Secondary antibody: Dako's Techmate streptavidin-biotin reagents at 1:10000 for 45 min at RT. Localization: AKT pS473 is nuclear and occasionally cytoplasmic. Staining: AKT pS473 as precipitated red signal with hematoxylin purple nuclear counterstain.

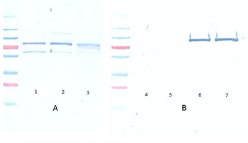
Western Blot of Mouse Anti-Akt pS473 antibody. A: Lane 1) PDGF stimulated NIH 3T3 cells (p/n orb348723) [10 µl]. Lane 2) NIH 3T3 cells (p/n orb348714) [10 µl]. Lane 3) Hela whole cell lysate (p/n orb348668) [10 µl] (weak signal). B: Lane 4) GST negative control protein (p/n orb345956) [100 ng]. Lane 5) GST negative control protein (p/n orb345956) [25 ng]. Lane 6) AKT 1 recombinant protein (p/n orb346473) [100 ng]. Lane 7) AKT 1 recombinant protein (p/n orb346473) [25 ng]. Block: 5% BSA overnight at 4°C. Primary antibody: Biorbyt monoclonal anti-AKT antibody (orb344404) used at 1:1000 for overnight at 4°C. Secondary antibody: HRP Conjugated goat anti-mouse (p/n orb347506) 1:25K for 45 min at RT. Detection: (orb348656) for 20 minutes, rinsed with deionized water, dried and scanned on conventional flatbed scanner.

Western Blot of Mouse Anti-AKT pS473 antibody. Lane 1: non-phosphorylated AKT in untreated cells. Lane 2: phosphorylated AKT (indicated by arrowhead at ~56 kDa) on PDGF stimulated NIH/3T3 cell lysates. Load: 10 µg per lane. Primary antibody: AKT pS473 antibody at 1:10000 in TBS with 0.05% Tween-20 with 1% BSA, for 1 h at 4°C. Secondary antibody: HRP conjugated Gt-a-Mouse IgG (p/n orb347385) was used at a 1:20000 dilution for 1 h at 4°C with FemtoMax™ enhanced chemiluminescent reagent. Other band(s): none.

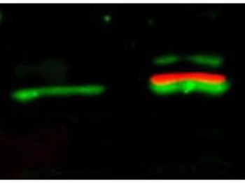
Western Blot of Mouse Anti-Akt pS473 antibody. Lane 1: unstimulated NIH/3T3 lysates contain inactive unphosphorylated Akt1, green band. Lane 2: PDGF stimulated NIH/3T3 lysate contains both inactive (green band) and activated phosphorylated Akt1 (red band). Load: 10 µg per lane. Primary antibody: rabbit anti-Akt (pan) and mouse anti-Akt pS473 specific antibodies at 1:400 for overnight at 4°C. Secondary antibody: DyLight™ 549 conjugated anti-rabbit IgG (green) and DyLight™ 649 conjugated anti-mouse IgG (red) secondary antibodies at 1:10000 for 45 min at RT. Block: 5% BLOTTO overnight at 4°C.

Western Blot of Mouse Anti-AKTpS473 antibody. Lane 1: A431 cells. Lane 2: A431 cells stimulated for 15 min with EGF. Load: 35 µg per lane. Primary antibody: AKTpS473 antibody at 1:400 for overnight at 4°C. Secondary antibody: DyLight™649 Conjugated Anti-AKT pS473 Monoclonal Antibody at 1:10000 for 45 min at RT. Block: Blocking Buffer for Fluorescent Western Blotting p/n orb348637 overnight at 4°C. Predicted/Observed size: 56kDa. Other band(s): none.
Documents Download
Request a Document
Protocol Information
Filter by Applications
Filter by Species
Deng, Dan et al. Silencing MEG3 protects PC12 cells from hypoxic injury by targeting miR-21 Artif Cells Nanomed Biotechnol, 48, 610-619 (2020)
Applications
Reactivity
Wang, Weiwei et al. Notoginsenoside R1 alleviates high glucose-evoked damage in RSC96 cells through down-regulation of miR-503 Artif Cells Nanomed Biotechnol, 47, 3947-3954 (2019)
Applications
Reactivity
Chen, Yanbo et al. Pretreatment of ghrelin protects H9c2 cells against hypoxia/reoxygenation-induced cell death via PI3K/AKT and AMPK pathways Artif Cells Nanomed Biotechnol, 47, 2179-2187 (2019)
Applications
Reactivity
Li, Meng et al. Melatonin Inhibits the Ferroptosis Pathway in Rat Bone Marrow Mesenchymal Stem Cells by Activating the PI3K/AKT/mTOR Signaling Axis to Attenuate Steroid-Induced Osteoporosis Oxid Med Cell Longev, 2022, 8223737 (2022)
Applications
Reactivity
Shouyu Xiang et al. miR-19b-3p regulates autophagy of BMSCs in hypoxia through PTEN/Akt/mTOR pathway to promote fracture healing J Mol Histol, 57(1), 30 (2026)
Applications
Reactivity
AKT phospho S473 Antibody (orb344403)
Participating in our Biorbyt product reviews program enables you to support fellow scientists by sharing your firsthand experience with our products.
Login to Submit a Review







































