You have no items in your shopping cart.
ABI3 Antibody
Description
Research Area
Images & Validation
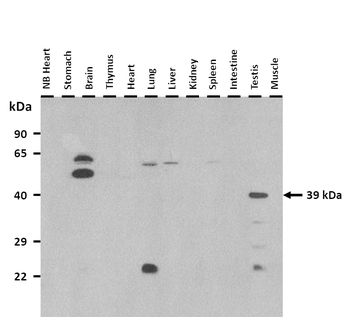
−| Tested Applications | ELISA, IHC, WB |
|---|---|
| Dilution Range | WB:1:500-2000, IHC-P:1:20-1:200 |
| Reactivity | Human, Mouse |
Key Properties
−| Host | Rabbit |
|---|---|
| Clonality | Polyclonal |
| Isotype | IgG |
| Immunogen | Recombinant Human ABI gene family member 3 protein (1-366AA) |
| Target | ABI3 |
| Purification | >95%, Protein G purified |
| Conjugation | Unconjugated |
Storage & Handling
−| Storage | Maintain refrigerated at 2-8°C for up to 2 weeks. For long term storage store at -20°C in small aliquots to prevent freeze-thaw cycles. |
|---|---|
| Form/Appearance | Liquid |
| Buffer/Preservatives | Preservative: 0.03% Proclin 300. Constituents: 50% Glycerol |
| Expiration Date | 12 months from date of receipt. |
| Disclaimer | For research use only |
Alternative Names
−Similar Products
−Abi3 Rabbit Polyclonal Antibody [orb585672]
WB
Bovine, Canine, Equine, Human, Porcine, Rabbit, Rat
Mouse
Rabbit
Polyclonal
Unconjugated
100 μlAPRR1 Rabbit Polyclonal Antibody [orb665433]
WB
A. thaliana
Rabbit
Polyclonal
Unconjugated
30 μl, 100 μl, 200 μl, 50 μl

Quality Guarantee
Explore bioreagents carefree to elevate your research. All our products are rigorously tested for performance. If a product does not perform as described on its datasheet, our scientific support team will provide expert troubleshooting, a prompt replacement, or a refund. For full details, please see our Terms & Conditions and Buying Guide. Contact us at [email protected].

Immunohistochemistry of paraffin-embedded human placenta tissue using ABI3 antibody

Immunohistochemistry of paraffin-embedded human tonsil tissue using ABI3 antibody
Quick Database Links
UniProt Details
−Documents Download
Request a Document
Protocol Information
ABI3 Antibody (orb353759)
Participating in our Biorbyt product reviews program enables you to support fellow scientists by sharing your firsthand experience with our products.
Login to Submit a Review




