You have no items in your shopping cart.
NR4A1 Rabbit Polyclonal Antibody
Description
Images & Validation
−| Tested Applications | IHC, WB |
|---|---|
| Reactivity | Human |
| Predicted Reactivity | Bovine, Canine, Equine, Guinea pig, Mouse, Rabbit, Rat |
Key Properties
−| Host | Rabbit |
|---|---|
| Clonality | Polyclonal |
| Immunogen | The immunogen is a synthetic peptide directed towards the middle region of human NR4A1 |
| Target | NR4A1 |
| Molecular Weight | 64 kDa |
| Purification | Affinity Purified |
Storage & Handling
−| Storage | Maintain refrigerated at 2-8°C for up to 2 weeks. For long term storage store at -20°C in small aliquots to prevent freeze-thaw cycles. |
|---|---|
| Buffer/Preservatives | Liquid. Purified antibody supplied in 1x PBS buffer with 0.09% (w/v) sodium azide and 2% sucrose. |
| Concentration | 0.5 mg/ml |
| Disclaimer | For research use only |
Alternative Names
−Similar Products
−NR4A1 Rabbit Polyclonal Antibody [orb573976]
IHC, WB
Bovine, Canine, Equine, Guinea pig, Mouse, Rabbit, Rat
Human
Rabbit
Polyclonal
Unconjugated
100 μlNur77 Rabbit Polyclonal Antibody [orb612263]
IF, IHC-Fr, IHC-P, WB
Human
Mouse, Rat
Rabbit
Polyclonal
Unconjugated
50 μl, 100 μl, 200 μlNR4A1 Rabbit Polyclonal Antibody [orb573975]
IHC, WB
Bovine, Canine, Equine, Guinea pig, Mouse, Rabbit, Rat
Human
Rabbit
Polyclonal
Unconjugated
100 μlNur77 Rabbit Polyclonal Antibody [orb6550]
IF, IHC-Fr, IHC-P, WB
Human
Mouse, Rat
Rabbit
Polyclonal
Unconjugated
50 μl, 100 μl, 200 μlNur77 rabbit pAb [orb765867]
ELISA, IHC-P, WB
Human, Monkey, Mouse, Rat
Polyclonal
Unconjugated
50 μl, 100 μl

Quality Guarantee
Explore bioreagents carefree to elevate your research. All our products are rigorously tested for performance. If a product does not perform as described on its datasheet, our scientific support team will provide expert troubleshooting, a prompt replacement, or a refund. For full details, please see our Terms & Conditions and Buying Guide. Contact us at [email protected].

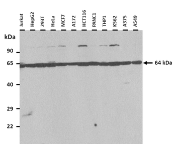
25 ug of the indicated Human whole cell extracts was loaded onto a 12% SDS-PAGE gel. 0.5 ug/ml of the antibody was used in this experiment.

Adrenal

Sample Tissue: Human 786-0 Whole Cell, Antibody dilution: 0.5 ug/ml.

WB Suggested Anti-NR4A1 Antibody Titration: 0.2-1 ug/ml, ELISA Titer: 1:312500, Positive Control: HepG2 cell lysate.
Documents Download
Request a Document
Protocol Information
NR4A1 Rabbit Polyclonal Antibody (orb579505)
Participating in our Biorbyt product reviews program enables you to support fellow scientists by sharing your firsthand experience with our products.
Login to Submit a Review


























