You have no items in your shopping cart.
You have no items in your shopping cart.
| Catalog Number | orb699607 |
|---|---|
| Category | Antibodies |
| Description | Recognizes a protein (amino acid 482) of 55kDa (in vivo 110kDa homodimer), identified as platelet-derived endothelial growth factor (PD-ECGF), same as thymidine phosphorylase (TP) or gliostatin. In the presence of inorganic orthophosphate, it catalyzes the reversible phospholytic cleavage of thymidine and deoxyuridine to their corresponding bases and 2-deoxyribose-1-phosphate. It is both chemotactic and mitogenic for endothelial cells and a non-heparin binding angiogenic factor present in platelets. Its enzymatic activity is crucial for angiogenic activity (metabolite is angiogenic). Higher levels of serum TP/PD-ECGF are observed in cancer patients. It is also involved in transformation of fluoropyrimidines, cytotoxic agents used in the treatment of a variety of malignancies, into active cytotoxic metabolites (e.g. 5-deoxy-5-fluorouridine to 5-FU). High intra-cellular levels of TP/PD-ECGF are associated with increased chemosensitivity to such antimetabolites. |
| Clonality | Recombinant |
| Species/Host | Mouse |
| Isotype | Mouse IgG1, kappa |
| Conjugation | Unconjugated |
| Reactivity | Human |
| Immunogen | Recombinant full-length human protein was used as the immunogen for the recombinant PD-ECGF antibody. |
| UniProt ID | P19971 |
| Tested applications | IHC-P, WB |
| Dilution range | Immunohistochemistry (FFPE): 1-2ug/ml for 30 minutes at RT,Western blot: 1-2ug/ml |
| Application notes | Optimal dilution of the recombinant PD-ECGF antibody should be determined by the researcher. |
| Antibody Type | Primary Antibody |
| Clone Number | rTYMP/3444 |
| Formula | 0.2 mg/ml in 1X PBS with 0.1 mg/ml BSA (US sourced), 0.05% sodium azide |
| Storage | Maintain refrigerated at 2-8°C for up to 2 weeks. For long term storage store at -20°C in small aliquots to prevent freeze-thaw cycles. |
| Research Area | Cancer, Developmental Biology, Epigenetics, Neuros Read more... |
| Note | For research use only |

Western blot testing of human spleen lysate with recombinant PD-ECGF antibody (clone rTYMP/3444). Predicted molecular weight ~55 kDa.

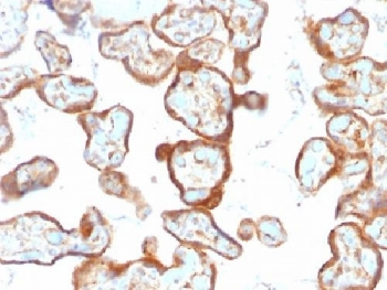
IHC staining of FFPE human placenta with recombinant PD-ECGF antibody (clone rTYMP/3444). HIER: boil tissue sections in pH9 10mM Tris with 1mM EDTA for 20 min and allow to cool before testing.

SDS-PAGE analysis of purified, BSA-free recombinant PD-ECGF antibody (clone rTYMP/3444) as confirmation of integrity and purity.
IHC-P, IP, WB | |
Human, Mouse, Rat | |
Mouse | |
Monoclonal | |
Unconjugated |
IHC-P, WB | |
Human | |
Rabbit | |
Recombinant | |
Unconjugated |
IHC-P, WB | |
Human | |
Mouse | |
Monoclonal | |
Unconjugated |
Participating in our Biorbyt product reviews program enables you to support fellow scientists by sharing your firsthand experience with our products.
Login to Submit a Review