You have no items in your shopping cart.
You have no items in your shopping cart.
| Catalog Number | orb2309550 |
|---|---|
| Category | Antibodies |
| Description | Recombinant Ksp-Cadherin (Kidney-Specific Cadherin) / CDH16 Antibody |
| Target | CDH16 |
| Clonality | Monoclonal |
| Species/Host | Mouse |
| Isotype | IgG1 |
| Conjugation | Unconjugated |
| Reactivity | Human |
| Form/Appearance | 200ug/ml of Ab produced in HEK293 cell mammalian-based expression system. Prepared in 10mM PBS with 0.05% rAlbumin & 0.05% azide. Also available WITHOUT rAlbumin & azide at 1.0mg/ml. |
| Immunogen | Recombinant human full-length CDH16 protein |
| UniProt ID | O75309 |
| MW | 130kDa |
| Tested applications | IHC, WB |
| Antibody Type | Recombinant Antibody |
| Clone Number | rCDH16/7343 |
| Expression System | HEK293 cells |
| Storage | Maintain refrigerated at 2-8°C for up to 2 weeks. For long term storage store at -20°C in small aliquots to prevent freeze-thaw cycles. |
| Alternative names | Cadherin-16 (CDH16); Kidney-specific cadherin; Ksp Read more... |
| Note | For research use only |
| Expiration Date | 12 months from date of receipt. |

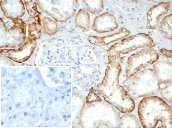
IHC analysis of formalin-fixed, paraffin-embedded normal human kidney. stained using rCDH16/7343 at 2 ug/ml in PBS for 30 min RT. Inset: PBS instead of primary antibody; secondary only negative control.

SDS-PAGE Analysis of Purified Recombinant Mouse Monoclonal Antibody [Clone rCDH16/7343] Confirmation of Purity and Integrity of Antibody.

Western Blot Analysis of human kidney tissue lysate using Ksp-Cadherin Recombinant Mouse Monoclonal Antibody (rCDH16/7343).
IHC, WB | |
Human, Mouse, Rat | |
Rabbit | |
Monoclonal | |
Unconjugated |
FC, IHC, WB | |
Human, Mouse, Rat | |
Rabbit | |
Monoclonal | |
Unconjugated |
IHC | |
Human, Mouse, Rat | |
Rabbit | |
Monoclonal | |
Unconjugated |
FC, IHC, WB | |
Canine, Human, Mouse, Rabbit, Rat | |
Mouse | |
Monoclonal | |
Unconjugated |
IHC | |
Human | |
Mouse | |
Monoclonal | |
Unconjugated |
Participating in our Biorbyt product reviews program enables you to support fellow scientists by sharing your firsthand experience with our products.
Login to Submit a Review