You have no items in your shopping cart.
You have no items in your shopping cart.
| Catalog Number | orb1410301 |
|---|---|
| Category | Antibodies |
| Description | Rabbit monoclonal antibody to CD86 (Dendritic Cells Maturation Marker) |
| Target | CD86 |
| Clonality | Monoclonal |
| Species/Host | Rabbit |
| Isotype | IgG |
| Conjugation | Unconjugated |
| Reactivity | Human |
| Form/Appearance | 200ug/ml of Ab produced in HEK293 cell mammalian-based expression system. Prepared in 10mM PBS with 0.05% rAlbumin & 0.05% azide. Also available WITHOUT rAlbumin & azide at 1.0mg/ml. |
| Immunogen | Recombinant fragment (around aa 66-195) of human CD86 protein (exact sequence is proprietary) |
| UniProt ID | P42081 |
| MW | 70kDa |
| Tested applications | IHC |
| Antibody Type | Recombinant Antibody |
| Clone Number | C86/6500R |
| Expression System | HEK293 cells |
| Storage | Maintain refrigerated at 2-8°C for up to 2 weeks. For long term storage store at -20°C in small aliquots to prevent freeze-thaw cycles. |
| Alternative names | Activation B7-2 antigen; B lymphocyte activation a Read more... |
| Research Area | Cardiovascular Research, Hematology, Immunology & Read more... |
| Note | For research use only |
| Expiration Date | 12 months from date of receipt. |

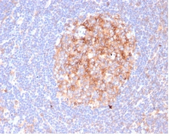
Formalin-fixed, paraffin-embedded human lymph node stained with CD86 Rabbit Recombinant Monoclonal Antibody (C86/6500R). Inset: PBS instead of primary antibody, secondary negative control.

IHC analysis of formalin-fixed, paraffin-embedded human lymph node. Staining of cell surface using C86/6500R at 2 ug/ml in PBS for 30 min RT. HIER: Tris/EDTA, pH9.0, 45 min. 2°C: HRP-polymer, 30 min. DAB, 5 min.

SDS-PAGE Analysis of Purified CD86 Rabbit Recombinant Monoclonal Antibody (C86/6500R). Confirmation of Integrity and Purity of Antibody.
IHC | |
Human | |
Mouse | |
Monoclonal | |
Unconjugated |
FC, IF, IHC | |
Human, Mouse, Rat | |
Mouse | |
Monoclonal | |
Unconjugated |
ELISA, FC, IF, IHC, WB | |
Human | |
Rabbit | |
Monoclonal | |
Unconjugated |
Participating in our Biorbyt product reviews program enables you to support fellow scientists by sharing your firsthand experience with our products.
Login to Submit a Review