You have no items in your shopping cart.
You have no items in your shopping cart.
| Catalog Number | orb1929508 |
|---|---|
| Category | Antibodies |
| Description | Purified Rabbit Polyclonal Antibody (Pab) |
| Target | This PKM2 antibody is generated from rabbits immunized with a KLH conjugated synthetic peptide between 460-489 amino acids from the C-terminal region of human PKM2. |
| Clonality | Polyclonal |
| Species/Host | Rabbit |
| Isotype | Rabbit IgG |
| Conjugation | Unconjugated |
| Reactivity | Human |
| Predicted Reactivity | Rabbit |
| Form/Appearance | Purified polyclonal antibody supplied in PBS with 0.09% (W/V) sodium azide. This antibody is prepared by Saturated Ammonium Sulfate (SAS) precipitation followed by dialysis against PBS. |
| UniProt ID | P14618 |
| MW | 57937 Da |
| Tested applications | IHC-P, WB |
| Dilution range | WB: 1:1000, IHC-P: 1:10~50 |
| Antibody Type | Primary Antibody |
| Clone Number | RB15339 |
| Storage | Maintain refrigerated at 2-8°C for up to 2 weeks. For long term storage store at -20°C in small aliquots to prevent freeze-thaw cycles |
| Alternative names | Pyruvate kinase PKM, Cytosolic thyroid hormone-bin Read more... |
| Research Area | Cancer Biology, Cardiovascular Research, Metabolis Read more... |
| Note | For research use only |
| NCBI | NP_001193726.1, NP_001193727.1, NP_002645.3, NP_872270.1, NP_872271.1, NP_001193725.1, NP_001193728.1 |

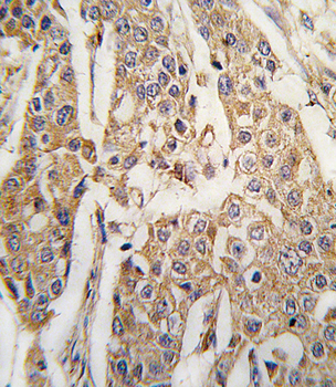
Formalin-fixed and paraffin-embedded human breast carcinoma tissue reacted with PKM2 antibody (C-term C474), which was peroxidase-conjugated to the secondary antibody, followed by DAB staining. This data demonstrates the use of this antibody for immunohistochemistry; clinical relevance has not been evaluated.

Western blot analysis of anti-PKM2 Antibody (C-term C474) in CEM cell line lysates (35 ug/lane). PKM2 (arrow) was detected using the purified Pab.
Participating in our Biorbyt product reviews program enables you to support fellow scientists by sharing your firsthand experience with our products.
Login to Submit a Review