You have no items in your shopping cart.
You have no items in your shopping cart.
| Catalog Number | orb699682 |
|---|---|
| Category | Antibodies |
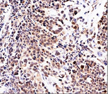
| Description | This MAb recognizes a 21kDa protein, identified as the p21WAF1 tumor suppressor protein. This MAb is highly specific to p21 and shows no cross-reaction with other closely related mitotic inhibitors. p21WAF1 is a specific inhibitor of cdk s and a tumor suppressor involved in the pathogenesis of a variety of malignancies. The expression of this gene acts as an inhibitor of the cell cycle during G1 phase and is tightly controlled by the tumor suppressor protein p53. Its expression is induced by the wild type, but not mutant, p53 suppressor protein. Normal cells generally display a rather intense nuclear p21 expression. Loss of p21 expression has been reported in many carcinomas (gastric carcinoma, non-small cell lung carcinoma, thyroid carcinoma). |
| Clonality | Recombinant |
| Species/Host | Rabbit |
| Isotype | Rabbit IgG |
| Conjugation | Unconjugated |
| Reactivity | Human |
| Immunogen | A portion of amino acids 1-100 from the human protein was used as the immunogen for the recombinant p21 antibody. |
| UniProt ID | P38936 |
| Tested applications | IHC-P |
| Dilution range | Immunohistochemistry (FFPE): 1-2ug/ml for 30 minutes at RT |
| Application notes | Optimal dilution of the recombinant p21 antibody should be determined by the researcher. |
| Antibody Type | Primary Antibody |
| Clone Number | CIP1/4377R |
| Formula | 0.2 mg/ml in 1X PBS with 0.1 mg/ml BSA (US sourced), 0.05% sodium azide |
| Storage | Maintain refrigerated at 2-8°C for up to 2 weeks. For long term storage store at -20°C in small aliquots to prevent freeze-thaw cycles. |
| Research Area | Epigenetics |
| Note | For research use only |

Analysis of HuProt (TM) microarray containing more than 19000 full-length human proteins using p21 antibody. These results demonstrate the foremost specificity of the CIP1/4377R mAb. Z- and S- score: The Z-score represents the strength of a signal that an antibody (in combination with a fluorescently-tagged anti-IgG secondary Ab) produces when binding to a particular protein on the HuProt (TM) array. Z-scores are described in units of standard deviations (SD's) above the mean value of all signals generated on that array. If the targets on the HuProt (TM) are arranged in descending order of the Z-score, the S-score is the difference (also in units of SD's) between the Z-scores. The S-score therefore represents the relative target specificity of an Ab to its intended target.

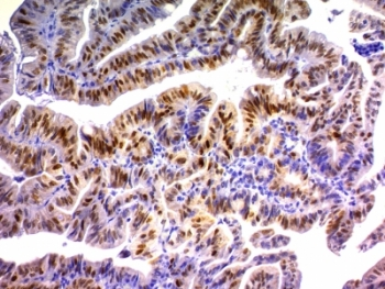
IHC staining of FFPE human lung carcinoma with recombinant p21 antibody (clone CIP1/4377R). HIER: boil tissue sections in pH9 10mM Tris with 1mM EDTA for 20 min and allow to cool before testing.

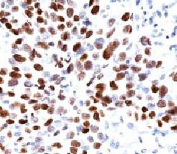
IHC staining of FFPE human colon carcinoma with recombinant p21 antibody (clone CIP1/4377R). HIER: boil tissue sections in pH9 10mM Tris with 1mM EDTA for 20 min and allow to cool before testing.
FACS, IF, IHC-P | |
Human, Mouse, Rat | |
Mouse | |
Monoclonal | |
Unconjugated |
Participating in our Biorbyt product reviews program enables you to support fellow scientists by sharing your firsthand experience with our products.
Login to Submit a Review