You have no items in your shopping cart.
You have no items in your shopping cart.
| Catalog Number | orb625421 |
|---|---|
| Category | Antibodies |
| Description | Rabbit polyclonal antibody to CARD14 |
| Target | CARD14 |
| Clonality | Polyclonal |
| Species/Host | Rabbit |
| Isotype | IgG |
| Conjugation | Unconjugated |
| Reactivity | Human, Mouse, Rat |
| Form/Appearance | liquid |
| Purity | ≥95% as determined by SDS-PAGE |
| Purification | Immunogen affinity purified |
| Immunogen | caspase recruitment domain family, member 14 |
| UniProt ID | Q9BXL6 |
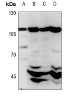
| MW | 113-120 kDa |
| Tested applications | ELISA, WB |
| Dilution range | WB: 1:500-1:2000 |
| Antibody Type | Primary Antibody |
| Storage | Maintain refrigerated at 2-8°C for up to 2 weeks. For long term storage store at -20°C in small aliquots to prevent freeze-thaw cycles. |
| Alternative names | CARMA2 |
| Research Area | Apoptotic, Cancer, Epigenetics, Neuroscience, Sign Read more... |
| Note | For research use only |

HT-29 cells were subjected to SDS PAGE followed by western blot with orb625421 (CARD14 Antibody) at dilution of 1:500.
ICC, WB | |
Bovine, Canine, Equine, Porcine, Rat, Sheep | |
Human, Mouse | |
Rabbit | |
Polyclonal | |
Unconjugated |
IF, IHC, WB | |
Human, Mouse, Rat | |
Rabbit | |
Polyclonal | |
Unconjugated |
Participating in our Biorbyt product reviews program enables you to support fellow scientists by sharing your firsthand experience with our products.
Login to Submit a Review