You have no items in your shopping cart.
You have no items in your shopping cart.

| Catalog Number | orb2937939 |
|---|---|
| Category | Antibodies |
| Description | SFXN4 Antibody |
| Clonality | Polyclonal |
| Species/Host | Rabbit |
| Isotype | Rabbit IgG |
| Conjugation | iFluor647 |
| Reactivity | Human, Mouse, Rat |
| Form/Appearance | Lyophilized |
| Concentration | Adding 0.2 ml of distilled water will yield a concentration of 500 μg/ml. |
| Purification | Immunogen affinity purified. |
| Immunogen | E.coli-derived human SFXN4 recombinant protein (Position: M1-V337). Human SFXN4 shares 61.3% amino acid (aa) sequence identity with mouse SFXN4. |
| UniProt ID | Q6P4A7 |
| MW | 38 kDa |
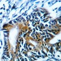
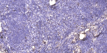
| Tested applications | ELISA, FC, ICC, IF, IHC, WB |
| Application notes | Western blot, 0.25-0.5 μg/ml, Human, Mouse, Rat Immunohistochemistry, 2-5 μg/ml, Human Immunofluorescence, 5 μg/ml, Human Immunocytochemistry/Immunofluorescence, 5 μg/ml, Human Flow Cytometry (Fixed), 1-3 μg/1x106 cells, Human ELISA, 0.1-0.5 μg/ml. Adding 0.2 ml of distilled water will yield a concentration of 500 μg/ml |
| Cross Reactivity | No cross-reactivity with other proteins |
| Antibody Type | Primary Antibody |
| Storage | At -20°C for one year from date of receipt. After reconstitution, at 4°C for one month. It can also be aliquotted and stored frozen at -20°C for six months. Avoid repeated freezing and thawing. |
| Alternative names | SFXN4; BCRM1; Sideroflexin-4; Breast cancer resist Read more... |
| Note | For research use only |
ELISA, IF, WB | |
Human, Mouse, Rat | |
Polyclonal | |
Unconjugated |
IF, IHC, WB | |
Human | |
Rabbit | |
Polyclonal | |
Unconjugated |
Participating in our Biorbyt product reviews program enables you to support fellow scientists by sharing your firsthand experience with our products.
Login to Submit a Review