You have no items in your shopping cart.
PPME1 Antibody
Description
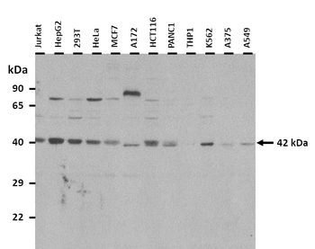
Images & Validation
−| Tested Applications | FC, IF, IHC, WB |
|---|---|
| Dilution range | WB 1:2000, IHC 1:50, IF 1:100, Flow 1:100 |
| Reactivity | Human, Mouse, Rat |
| Application Notes |
Key Properties
−| Antibody Type | Primary Antibody |
|---|---|
| Host | Mouse |
| Clonality | Monoclonal |
| Isotype | IgG1 |
| Clone No. | OTI7F12 |
| Immunogen | Full length human recombinant protein of human PPME1 (NP_057231) produced in HEK293T cell. |
| Target | PPME1 |
| Molecular Weight | 42.3 kDa |
Storage & Handling
−| Storage | Maintain refrigerated at 2-8°C for up to 2 weeks. For long term storage store at -20°C in small aliquots to prevent freeze-thaw cycles. |
|---|---|
| Disclaimer | For research use only |
Similar Products
−PPME1 Rabbit Polyclonal Antibody [orb583343]
IHC, WB
Bovine, Canine, Equine, Guinea pig, Mouse, Porcine, Rabbit, Rat
Human
Rabbit
Polyclonal
Unconjugated
100 μlPPME1 Antibody (C-term) [orb1934157]
WB
Bovine, Mouse, Rat
Human
Rabbit
Polyclonal
Unconjugated
50 μl, 100 μl

Quality Guarantee
Explore bioreagents carefree to elevate your research. All our products are rigorously tested for performance. If a product does not perform as described on its datasheet, our scientific support team will provide expert troubleshooting, a prompt replacement, or a refund. For full details, please see our Terms & Conditions and Buying Guide. Contact us at [email protected].

Western blot analysis of HEK293T cells were transfected with the pCMV6-ENTRY control (Left lane) or pCMV6-ENTRY PPME1 (Right lane) cDNA for 48 hrs and lysed using PPME1 antibody
Documents Download
Request a Document
Protocol Information
PPME1 Antibody (orb1338125)
Participating in our Biorbyt product reviews program enables you to support fellow scientists by sharing your firsthand experience with our products.
Login to Submit a Review









