You have no items in your shopping cart.
KIN Antibody
Description
Images & Validation
−| Tested Applications | ELISA, WB |
|---|---|
| Reactivity | Canine, Human, Rat |
| Application Notes |
Key Properties
−| Antibody Type | Primary Antibody |
|---|---|
| Host | Rabbit |
| Clonality | Polyclonal |
| Immunogen | Antibody produced in rabbits immunized with a synthetic peptide corresponding a region of human KIN. |
| Target | KIN |
| Molecular Weight | 45 kDa |
| Purification | Antibody is purified by protein A chromatography method. |
Storage & Handling
−| Storage | Maintain refrigerated at 2-8°C for up to 2 weeks. For long term storage store at -20°C in small aliquots to prevent freeze-thaw cycles. |
|---|---|
| Form/Appearance | Liquid |
| Buffer/Preservatives | Purified antibody supplied in 1x PBS buffer with 0.09% (w/v) sodium azide and 2% sucrose. |
| Concentration | batch dependent |
| Disclaimer | For research use only |
Alternative Names
−Similar Products
−JIP-1 rabbit pAb [orb765534]
ELISA, IF, IHC-P, WB
Human, Mouse, Rat
Polyclonal
Unconjugated
50 μl, 100 μlMEK-6 rabbit pAb [orb765650]
ELISA, IF, IHC-P, WB
Human, Mouse, Rat
Polyclonal
Unconjugated
50 μl, 100 μlJIP-1 (phospho Thr103) rabbit pAb [orb770923]
ELISA, IF, IHC-P, WB
Human, Mouse, Rat
Polyclonal
Unconjugated
50 μl, 100 μlMEK-3 (phospho Ser218) rabbit pAb [orb764232]
ELISA, IHC-P, WB
Human, Mouse, Rat
Polyclonal
Unconjugated
50 μl, 100 μl

Quality Guarantee
Explore bioreagents carefree to elevate your research. All our products are rigorously tested for performance. If a product does not perform as described on its datasheet, our scientific support team will provide expert troubleshooting, a prompt replacement, or a refund. For full details, please see our Terms & Conditions and Buying Guide. Contact us at [email protected].

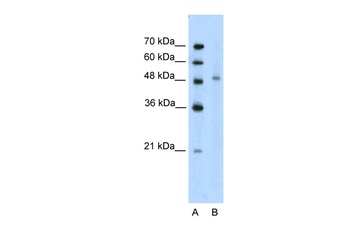
Antibody used in WB on Human Jurkat 2.5 ug/ml.
Documents Download
Request a Document
Protocol Information
KIN Antibody (orb1243878)
Participating in our Biorbyt product reviews program enables you to support fellow scientists by sharing your firsthand experience with our products.
Login to Submit a Review

















